Clint Sliker, MD, FACR, FASER retweetledi
Clint Sliker, MD, FACR, FASER
596 posts

Clint Sliker, MD, FACR, FASER
@TraumaRad
Professor, Diagnostic Radiology & Nuclear Medicine, UMD SOM Associate Head of Trauma Radiology, Shock Trauma Center @shocktrauma, @ummc
Baltimore, MD, USA Katılım Mart 2020
76 Takip Edilen187 Takipçiler
Clint Sliker, MD, FACR, FASER retweetledi

We are excited to share the ASER 2026 Winter Newsletter! ❄️
📖 Read the ASER Newsletter Here:
aser.org/newsletters-2/

English
Clint Sliker, MD, FACR, FASER retweetledi

Call for Abstracts: 2026 Annual Meeting
The American Society of Emergency Radiology invites submissions for the 2026 Annual Meeting in Nashville!
Deadline: 5 PM EST | May 12
Notifications: June 19
Acceptance Confirmation: July 7
Submit: abstractscorecard.com/cfp/submit/log…

English

@Sage_medics Pt prob dead when ETT placedour shortly after. Injuries like this should have massive prevert soft tissue swelling but there isn't any.
English
Clint Sliker, MD, FACR, FASER retweetledi

The Next ASER Intergalactic Monthly Case Conference is Thursday, February 5th. Come ready to listen, learn, share, and discuss the most interesting cases you have.
Login here: gotomeet.me/AmericanSociet…
#eradsociety #IntergalacticMonthly #EmergencyRadiology #CaseSharing

English
Clint Sliker, MD, FACR, FASER retweetledi

The Next ASER Intergalactic Monthly Case Conference is Thursday, February 5th. Come ready to listen, learn, share, and discuss the most interesting cases you have.
Login here: gotomeet.me/AmericanSociet…
#eradsociety #IntergalacticMonthly #EmergencyRadiology #CaseSharing

English
Clint Sliker, MD, FACR, FASER retweetledi

Tuesday Journal Article Spotlight:
Title:
Isolated oculomotor nerve palsy following mild traumatic brain injury: diagnostic challenges and insights from High-Resolution MRI
You may access the full length article here: link.springer.com/article/10.100…

English
Clint Sliker, MD, FACR, FASER retweetledi
Clint Sliker, MD, FACR, FASER retweetledi

Tuesday Journal Article Spotlight:
Developing a novel deep learning—based model for automatic right ventricular parameters assessment on ctpa in pulmonary embolism
You may access the full length article here: link.springer.com/article/10.100…

English

@hemo_shk @IhabFathiSulima Tragic ping pong accident
English

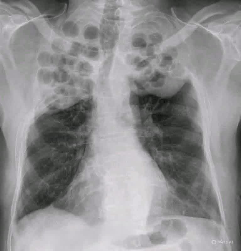
The patient presented with respiratory failure and required ICU admission.
What is the diagnosis?
Cxr findings?
#MedX #MEDHM @IhabFathiSulima

English
Clint Sliker, MD, FACR, FASER retweetledi

The Next ASER Intergalactic Monthly Case Conference is Thursday, January 8th. Come ready to listen, learn, share, and discuss the most interesting cases you have.
Login here: gotomeet.me/AmericanSociet…
#eradsociety #IntergalacticMonthly #EmergencyRadiology #CaseSharing

English
Clint Sliker, MD, FACR, FASER retweetledi

December Journal Article Spotlight:
You may access the full length article here: link.springer.com/article/10.100…

English

@ERadSociety It's great to see a strong showing. Sorry that I missed it.
English
Clint Sliker, MD, FACR, FASER retweetledi

Tuesday Journal Article Spotlight:
Title:
Clinically unsuspected pyelonephritis in children younger than 7 years
You may access the full length article here: link.springer.com/article/10.100…

English
Clint Sliker, MD, FACR, FASER retweetledi

@drkeithsiau @mnls_nke She is thin, so SMA syndrome is possible, especially with a preceding period of rapid weight loss.
She's old for a GOO due to congenital anomaly (eg, annular panc) and young for mass or structure.
English

@drkeithsiau @mnls_nke As a radiologist, I appreciate the shout-out.
While only one image, in a thin, young, thin woman, I would be looking for a trichobezoar causing gastric outlet or proximal duodenal obstruction.
1 of r
English

@drkeithsiau @mnls_nke The stomach does not have the capacity to get that big, it will rupture
English
Clint Sliker, MD, FACR, FASER retweetledi

⛳ Tee up for an unforgettable night at the ASER Annual Meeting!
Join us for In-Door Putt-Putt Golf & Dinner at Holey Moley Golf Club on Tuesday, Oct. 7.
👉 Register here: aser.memberclicks.net/holey_moley

English
Clint Sliker, MD, FACR, FASER retweetledi

Tuesday Journal Article Spotlight:
Title:
Diagnostic accuracy of chest CT for COVID-19 pneumonia in a resource-limited Gaza cohort: a retrospective study of 252 patients
You may access the full length article here: link.springer.com/article/10.100…

English










