Cardiac Path Network
764 posts

Cardiac Path Network
@UKCardiacPath
The UK Cardiac Pathology Network seeks to promote best practice and knowledge in cardiac pathology #CardiacPath Tweets by @estheryoud
United Kingdom Katılım Şubat 2017
399 Takip Edilen933 Takipçiler

Dr Martin Goddard now discussing the cardiac EQA.
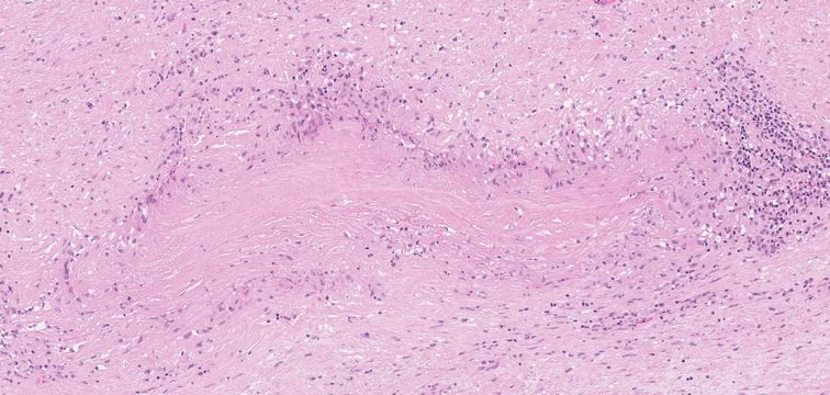
This is a case of granulomatous aortits.
#cardiacpath #ukcpn2026 #cvpath


English

Case presentations now being shared by trainees. Always a fantastic session.
We award the UKCPN Kim Suvarna bursary to the best presentation, to support cardiovascular pathology education at the AECVP conference.
#ukcpn2026 #autopsy #cardiacpath #forensicpath
English

Next Dr Stephen Preston on myocarditis.
Dallas criteria were the first, based on biopsy - inflammation + myocyte damage.
Seaport criteria 2025 define criteria in biopsy vs autopsy/explant hearts
#ukcpn2026 #cardiacpath #autopsy #forensicpath
openaccess.sgul.ac.uk/id/eprint/1177…
English

Dr Hadden: DCM genetic causes;
Titin and lamin A/C most common
May present with heart failure, arrhythmia, sudden cardiac death.
Sudden death may occur before the person presents with heart failure so the autopsy is key to identify the cause.
#ukcpn2026 #autopsy #cardiacpath
English

Dr Rob Hadden now taking us through interpreting DCM at autopsy and when to attribute death to DCM. Beginning with an excellent overview of the ultra structure of cardiac myocytes, important in understanding how DCM affects the myocytes and causes disease
#ukcpn2026 #cardiacpath
English

Dr Majo: around 37% of idiopathic DCM have an identifiable genetic mutation. Genotype and phenotype don’t always match! Still lots to learn about the causes.
#ukcpn2026 #cardiacpath #autopsy #forensicpath
English

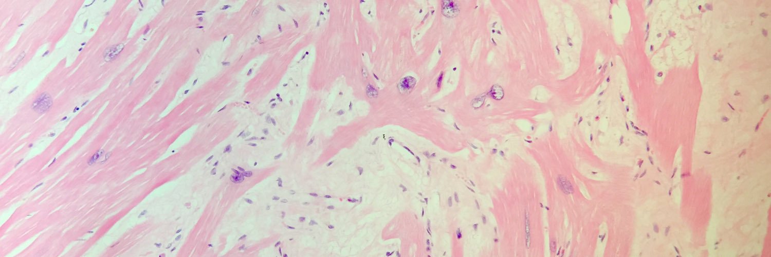
Dr Majo
Histology of DCM: myocyte features not specific. Vacuolation and myocyte loss can be seen. Fibrosis interstitial or replacement, non-specific features, irregular distribution. No significant inflammation
#ukcpn2026 #autopsy #cardiacpath #forensicpath
English

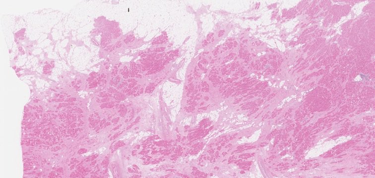
Next session on dilated cardiomyopathy with Dr Joaquim Majo and Dr Rob Hadden
DCM usually four chamber dilatation, globular shape, enlarged in weight, not usually much fibrosis
#ukcpn2026 #cardiacpath #autopsy #forensicpath
English

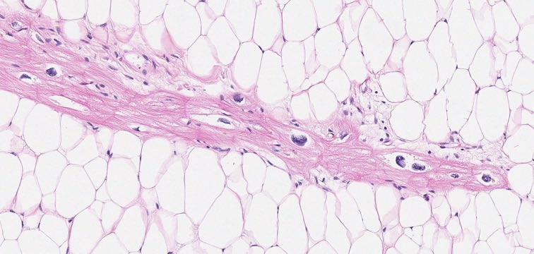
Dr Goddard: mitral prolapse common, only 5-10% progress to severe regurgitation. Tip: look at the mitral valve before slicing the ventricle so you don’t over-interpret ballooning of the leaflets.
Link to Filamin C mutations and connective tissue disorders
#ukcpn2026 #cardiacpath
English

Dr Goddard: In aortic stenosis, look for valve calcification & orifice narrowing, AND effect on the heart ie. left ventricular hypertrophy
Coronary flow reserve impaired <1cm2
Coexistant coronary artery disease also affects risk of sudden cardiac death
#ukcpn2026 #cardiacpath
English

Dr Goddard: Bicuspid aortic valve occurs in 2% of the population. Associated with aortic root dilatation.
#ukcpn2026 #autopsy #cardiacpath #forensicpath
English

Dr Goddard: Assessing severity of aortic valve disease. Critical stenosis or cardiac failure indicate significant stress on the heart.
Clinical assessment uses: Velocity of flow >5m/s, valve area <0.6cm2, LVEF 50%
#ukcpn2026 #autopsy #cardiacpath #forensicpath
English

Next Dr Martin Goddard discussing when to give valve disease as the cause of death. In most cases valve diseases don’t cause death.
#ukcpn2026 #cardiacpath #autopsy #forensicpath
English



