University of Utah Pain Medicine
222 posts

University of Utah Pain Medicine
@UofUtahPain
Advancing the field of pain medicine through interdisciplinary and innovative clinical care, education and research. #UofUPainMedicine
Salt Lake City, UT Katılım Aralık 2018
271 Takip Edilen518 Takipçiler

Congrats to Dr. David T. Cheng! #UofUPainMedicine
ASRA Pain Medicine@ASRA_Society
Congratulations to our 31 outstanding #fellows selected to be part of our @ASRA_Society x @APPDHQ Pain Management Course & Workshop for Fellows. Thank you to @AbbottNews, @Nevro_HFX, @sprintpns, and @vertosmedical for providing the educational grants. See you all at #ASRAFALL24!
English

👏 Congrats to Dr. Newaj Abdullah for co-authoring the first guidelines on regenerative medicine-based treatments for chronic pain, published in The Journal of Pain Medicine! A big step forward for pain management.
Read more: uofuanesthesia.link/24-newaj-regen…
#UofUPainMedicine

English

Congrats Dr Okifuji on this important study!
journals.lww.com/pain/fulltext/…
English
University of Utah Pain Medicine retweetledi

Boom! Cerebrospinal fluid (CSF) flow extends to peripheral nerves. Alexander Ligocki, Ed Scott and colleagues @UF @UFHealth blow our minds. New paper @ScienceAdvances. What will we call it now? Cerebro-spinal-nerve fluid (CSNF)? or maybe brain-spinal-nerve fluid (BSN)? Just when you think you have a few ground truths of the brain and nervous system, you are humbled again.
Key Points:
- The authors point out that dogma holds that cerebrospinal fluid is responsible for 'maintaining brain homeostasis through nutrient delivery and waste removal for only the central nervous system.'
- They show extensive CSF flow throughout the peripheral nervous system.
- They traced multimodal 1.9-nanometer gold nanoparticles.
- These nanoparticles were roughly the size of CSF circulating proteins.
- They squirted them into the lateral cerebral ventricle.
-They showed incredibly that the particles transitioned from central to peripheral nervous systems at root attachments and transition zones.
- They showed the particles could make it all the way to the axoplasm of distal peripheral nerves.
- Bigger 15-nanometer gold particles were not able to make the journey.
My take: We know that the nervous system does not contain the more traditional lymphatics and has a force field called the blood brain barrier. We know that CSF delivers nutrients and removes waste from the brain and central nervous system. Our previous ground truth was established by studies using dye tracers. Using small gold nanoparticles these authors 'tore down the dogma.' So the real question is whether it is time for a name change? Cerebrospinal fluid (CSF) or cerebro-spinal-nerve fluid (CSNF)? or maybe brain-spinal-nerve fluid (BSN)? Thoughts? Sartor resartus – the tailor re-tailored our view on this important aspect of neuroscience. BRAVO!
science.org/doi/10.1126/sc… #parkinson #CSF #cerebrospinal #Alzheimers

English

Thrilled to announce that Dr. Abdullah, Dr. Junkins, and Dr. Hopf contributed to the new pain management section in the updated arterial ulcer treatment guidelines! Read the full update here: doi.org/10.1111/wrr.13…
#UofUDivisionofPainMedicine #ArterialUlcers
English

RT @uofuanesthesia: We’re excited to unveil our rebranded newsletter, "#AnesthesiologyElevated!" 🏔️ This revamped edition marks a new chapt…
English

Dr. Newaj Abdullah joined the expert panel at the 6th Annual @ASPN_PainNeuro Conference, discussing the 1st-ever treatment guideline for painful diabetic neuropathy. Congratulations, Dr. Abdullah!
Read more: uofuanesthesia.link/24-abdullah-as…
#UofUDivisionofPainMedicine

English

Dr. Husain and Dr. Jackman showing their patriotic spirit at the VA ahead of the holiday! 🇺🇸 #Happy4th

English

Our fellows, attendings, and staff had a fantastic time riding together at Round Valley earlier this month! It was a great day for team bonding and enjoying the beautiful outdoors. 🚴🌄 #TeamBuilding #PainMedicine #RoundValley #UofUHealth

English
University of Utah Pain Medicine retweetledi

Wrapping up @UofUtahPain #painmedicine interviews with @CarinaJackman and others.
Another great day of impressive applicants! Now the ranking begins…@uofuanesthesia

English

Great lecture this morning from our fellow @MD_Uribe on the hometown discovery of Ziconotide and how it came to be. #UofUPainMedicine #Ziconotide

English

Starting Friday morning off right with a didactic session from our Pain Medicine fellow, @DianaJohnsonMD, who is teaching us about acetaminophen and how the name "Tylenol" came to be! #UofUPainMedicine #Acetaminophen #Tylenol

English
University of Utah Pain Medicine retweetledi

Fun and interactive audience at #ins2024
Lots of great discussion and questions about intrathecal drug delivery in #CancerPain
Thank you @IntlNeuromod for putting IDD in the spotlight


English
University of Utah Pain Medicine retweetledi

Throwin’ it back to a couple of months ago when 3 of our residents and 2 of our pain fellows presented at the 49th Annual Regional Anesthesiology and Acute Pain Medicine Meeting in March! We are incredibly proud! 👏👏 #UofUAnesthesiology @UofUtahPain

English

A wonderful Perry G. Fine Lecture this morning with Sierre Mastratonio, MD, learning about Thoracic Outlet Syndrome! #UofUPainMedicine

English
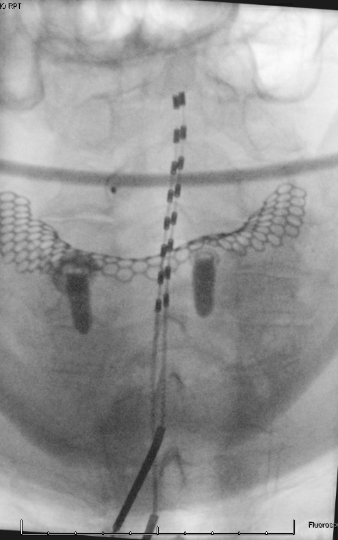
University of Utah Pain Medicine retweetledi

Cervical SCS for post-herpetic neuralgia in the V1 distribution by targeting nucleus caudalis. Thank you, Shervin, for your guidance. It is always a pleasure to work with my mentee — Dr. Gill. @rshervin @benjamin_gill @UofUtahPain


English

Another great morning for our Perry G. Fine Didactic Lecture series! Learned from Pain Medicine Fellow, @benjamin_gill, DO, MBA, about the uses of methadone, and heard from our fellows regarding the progress of their quality improvement projects! #UofUPainMedicine #UofUHealth
English

