Rami Tadros
92 posts

Rami Tadros
@VascMD
Vascular surgeon working in NYC specializing in complex endovascular and open vascular surgery, aneurysms, dissections, and PAD
New York, NY Katılım Temmuz 2016
144 Takip Edilen822 Takipçiler
Rami Tadros retweetledi

New Yorkers always find a way to band together during these tough times. Heartwarming to see all the support on my way in last night. We’re all in this together! #COVID19 #StayHomeSaveLives #HealthCareHeros
English

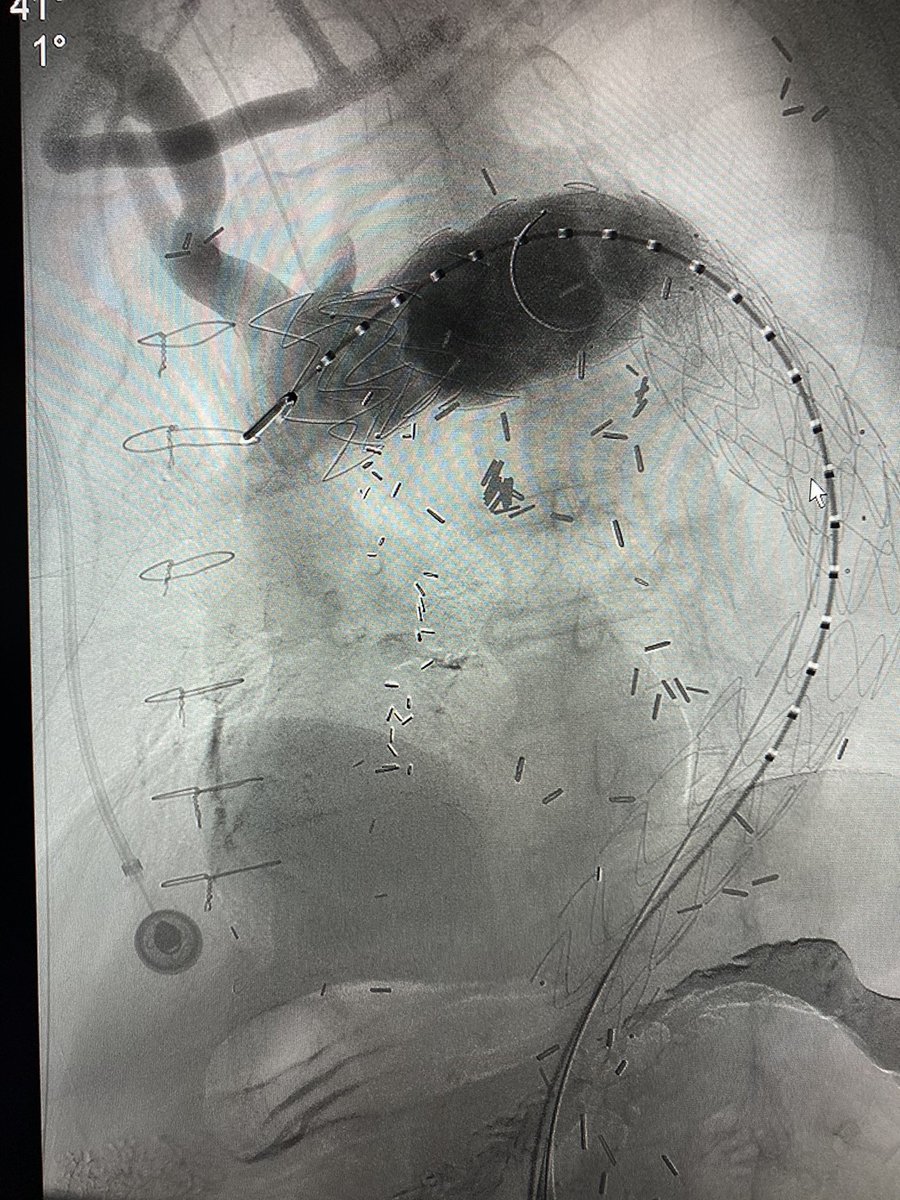
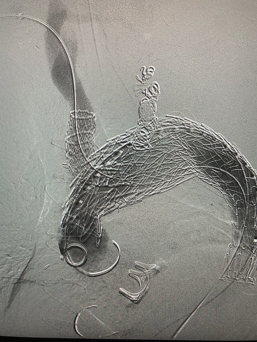
Carotid-carotid carotid-subclavian w/ #endovascular #aneurysm repair for proximal and distal anastomotic aneurysm



Română

@Kniery_Bird @LucynaPrice @DanHan @JFMVasc @ReidRavin We went RP. We had a balloon in from the Rt femoral in the event we needed it. He also had a large Rt CIA to exclude, so we planned to sew to the Rt CFA. Clamp was suprarenal. Always ID the left renal a and v, as well as the renolumbar vein that needs to be ligated and divided.
English

@VascMD @LucynaPrice @DanHan @JFMVasc @ReidRavin Sounds like a great case, any technical points or takeaways? Did you need a CODA for inflow control? Clamp suprarenal?
English
Rami Tadros retweetledi

Ending 2019 with a ruptured AAA! @VascMD @DanHan @JFMVasc @ReidRavin Incredibly thankful for the personal and professional opportunities from this past year. Looking forward to bringing my black cloud to 2020! Wishing everyone a happy healthy and love filled New Year!


English

@Kniery_Bird @LucynaPrice @DanHan @JFMVasc @ReidRavin This pt had a ruptured juxtarenal AAA. We keep a cookie-cutter z-fen on the shelf that wouldn’t have worked in this case. He was a thin 70 y/o with no known prohibitive risk factors, so we felt open repair was most ideal. Snorkel technique is an option, but less definitive.
English

@LucynaPrice @VascMD @DanHan @JFMVasc @ReidRavin Tell us more! Why open, how did you fix it? Looks like you had a great team.
English

Open repair of a ruptured type 4 thoracoabdominal aortic #aneurysm with aortic clamp in the chest. Teaching the next generation of aortic surgeons




English

Rami Tadros retweetledi

Transradial n-BCA Glue Embolization of Giant Pelvic Arteriovenous Malfor... youtu.be/BlGp9gZV6wk via @YouTube

YouTube
Română

Transradial Infrapopliteal Atherectomy, Angioplasty and Stenting for Cri... youtu.be/Gf8tdMXcBls via @YouTube

YouTube
English
Rami Tadros retweetledi

@VascularSVS #VAM19 Poster Competition! @IcahnMountSinai students Mark Bailey and Hanna Barnes and @SinaiVascular resident Vivek Prakash representing!




English


A big congrats to my partner and mentor @VouyoukaAgeliki on her full Professorship at @MSHSSurgery @IcahnMountSinai! (She’s had her other title for awhile.)

English



























