VetBloom

603 posts

VetBloom banner
VetBloom

VetBloom

@VetBloom

Cultivate your team, grow your practice

United States Katılım Nisan 2014
601 Takip Edilen957 Takipçiler
VetBloom
VetBloom@VetBloom·
Communication skills are a key aspect to an improved client relationship. ow.ly/XAYT50qryJj
English
0
0
1
0
VetBloom
VetBloom@VetBloom·
Traumatic brain injury in dogs and cats can occur due to a variety of causes and initial patient assessment and rapid initiation of appropriate treatment measures are critical. Read more on #VetBloom. ow.ly/IEBX30mWB3t
English
0
0
0
0
VetBloom
VetBloom@VetBloom·
Follow the wax! Using the PSPP system to diagnose & treat otitis externa. ow.ly/MaYs30m9UVb
English
0
0
0
0
VetBloom
VetBloom@VetBloom·
Register for the free, RACE-Approved, 1 hour live webinar, June 26th at 11:00 EDT/08:00 PDT now at: tinyurl.com/OpioidMinimal Take the RACE-Approved, 1.5 CE, on-demand, lecture for free now at: tinyurl.com/OpioidMinimalOD Use voucher code "AVMACE2018" at checkout.
VetBloom tweet media
English
0
1
1
0
VetBloom
VetBloom@VetBloom·
Patients running hot or cold in the ICU? Does it even need to be treated? Read more about thermoregulation in ICU patients on #VetBloom at ow.ly/wA5j30k0uAG
English
0
0
0
0
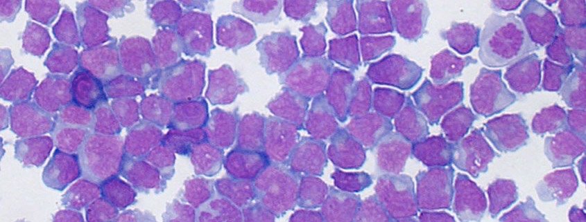
VetBloom
VetBloom@VetBloom·
Lymphoma is one of the most common tumors of dogs and cats, representing 7-24% of all dog tumors. Check out this update on diagnosis and prognosis on #VetBloom at ow.ly/4RXR30jwYSz
VetBloom tweet media
English
0
0
1
0
VetBloom
VetBloom@VetBloom·
WEBINAR: Opioid Minimal Anesthesia, Andrea Looney, DVM, DACVAA, CCRP, DACVSMR. RACE-Approval pending 1.5 CE's. Price $30 vetbloom.com/product?catalo…
Română
0
0
0
0
VetBloom
VetBloom@VetBloom·
Want more info on methods of differentiating neoplastic from reactive lymphocytes? Check out today's post on the #VetBloom blog. ow.ly/3Iyd30iDNWG
English
0
0
1
0