Sabitlenmiş Tweet
Raghad Almutairi
69 posts

Raghad Almutairi
@_7quit
Dental student at PSAU
Riyadh Katılım Ağustos 2025
59 Takip Edilen108 Takipçiler

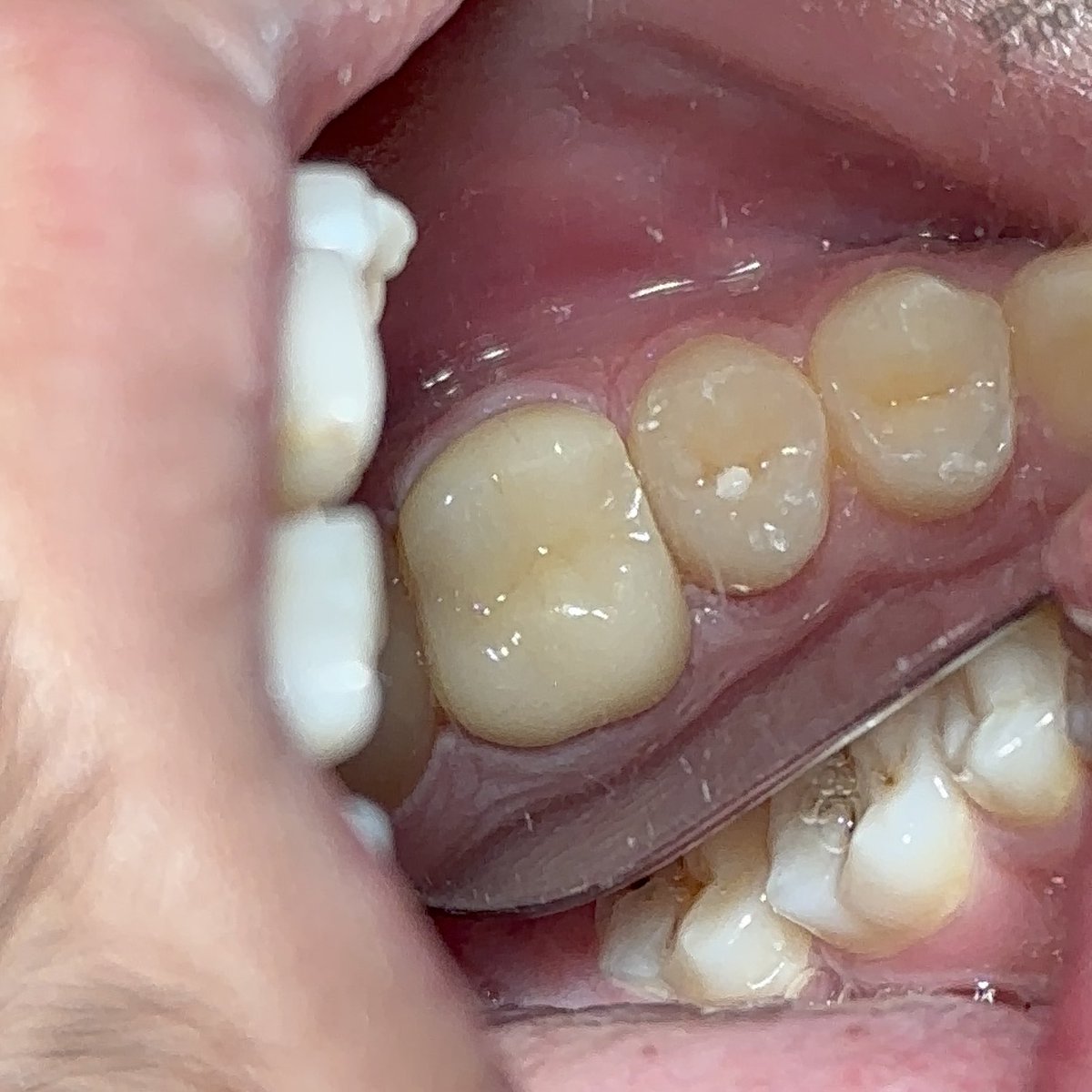
Today’s case
a three-unit zirconia bridge, completed under the supervision and guidance of @abdulrahmanatq ,My sincere thanks and appreciation🙏🏼




English
Raghad Almutairi retweetledi
Raghad Almutairi retweetledi
Raghad Almutairi retweetledi

فيديو موجز يوثّق ثلاثة أيام حافلة شهدها المؤتمر السعودي العالمي لطب الأسنان.
نأمل أن تكونوا قد استمتعتم بالتجربة، ونلتقي بكم بإذن الله في المؤتمر القادم.
#SIDC
العربية
Raghad Almutairi retweetledi

Raghad Almutairi@_7quit
I am truly honored to receive 1st Place in IADR Saudi Arabian Division Research Award during SIDC, This journey has been incredibly rewarding, and I am sincerely grateful to my research team for their hard work, support, and shared commitment to excellence.#IADR #SIDC2026 #PSAU
English













































