Antonio Ciacciarelli
381 posts

Antonio Ciacciarelli
@a_ciacciarelli
MD | PhD | Neurologist | @SapienzaRoma | MSc student at @MASStroke @StrokeBern | Board @ISA_AII_Young | #stroke


Query for the neurologists. Healthy 37-year-old male. Incidental asymptomatic right middle cerebral artery stenosis noted on a Prenuvo scan. What is your recommendation?







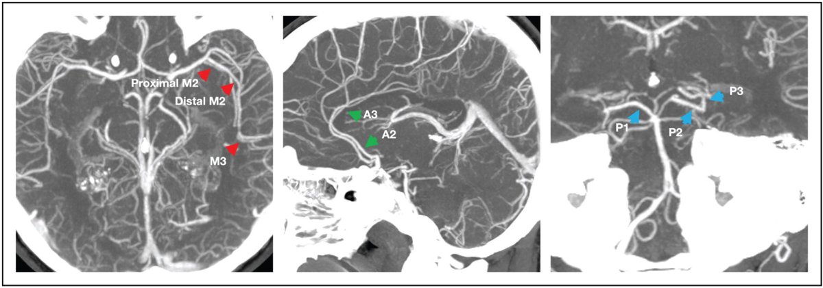
👀A pictorial #MeVO case review🖼️with discussion of state of the art evidence: superbly written by A. Ciacciarelli and G. Busto🤩 #INR #stroke #neurorad ➡️ rdcu.be/e6MIa


















MAPSTROKE analysis in Italy🇮🇹 A smart tool that might help data-driven monitoring of #stroke care coverage. We're on the right path for #reperfusion treatments but SU access is the current challenge! Thanks 🇮🇹🇧🇷 team @a_ciacciarelli @LeoAugCarbonera academic.oup.com/esj/article/11…






Apply for the 29th ESO Stroke Summer School A prestigious training to advance excellence in #StrokeCare. 🌍 Lisbon | 📅 7–11 Sept 2026 🔗ow.ly/z5Qi50Y87Ag Topics: etiology & prevention, #Stroke care, management updates, building patient-centered excellence #Neurology











