aku koas gigi yang mau dirawat boleh dm
198 posts

aku koas gigi yang mau dirawat boleh dm retweetledi

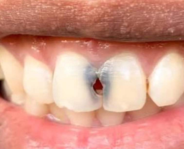
haloo! adakah yang punya keluhan gigi berlubang di dekat akar seperti gambar atau abfraksi / akar gigi yang terbuka dan mau dilakukan perawatan atau ditambal gigi? boleh dm ya☺️
untuk perawatannya gratis, kliniknya di jakarta pusat, mau tanya2 dulu jg boleh!
#tambalgigi #gratis



Indonesia

@l0rentzzz hii kak boleeh dm aku kah?
Indonesia

halooo!! adakah yang punya keluhan gigi depan berlubang disamping dan ingin ditambal? yang mau tanya2 boleh dm yaa🤗
untuk perawatannya gratis dan kliniknya ada di daerah jakarta pusat yaa 😊
#gigiberlubang #tambalgigi #gigilubang #tambalgigijakarta


Indonesia

haloo adakah yang punya keluhan gigi berlubang cukup besar dan ingin di tambal? perawatannya gratiss, kliniknya di daerah jakarta pusat yaaa!
mau dm tanya2 duluu boleh jugaaaa☺️🤗
#doktergigimuda #koasgigi #jakarta #tambalgigigratis


Indonesia

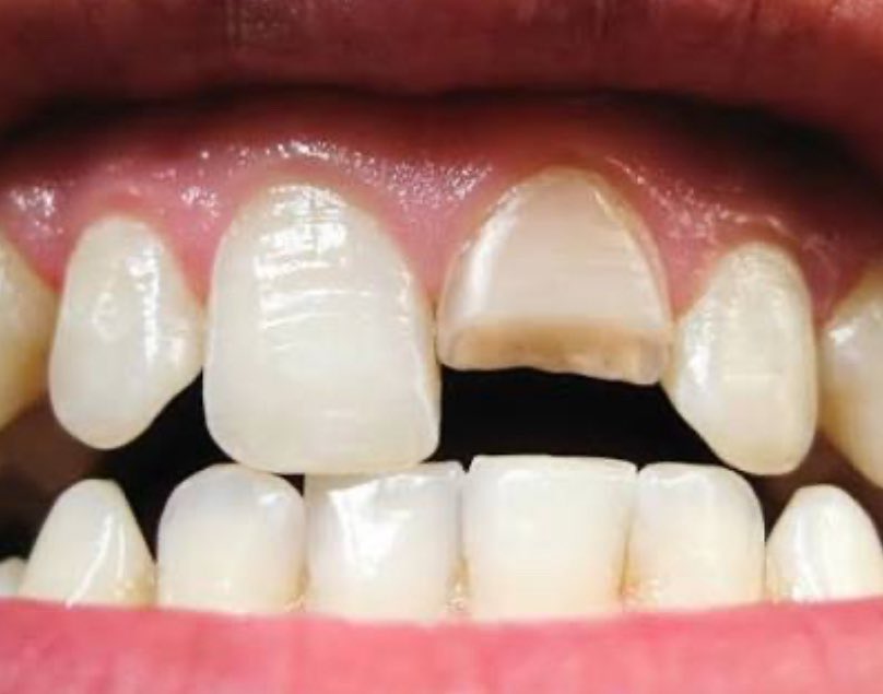
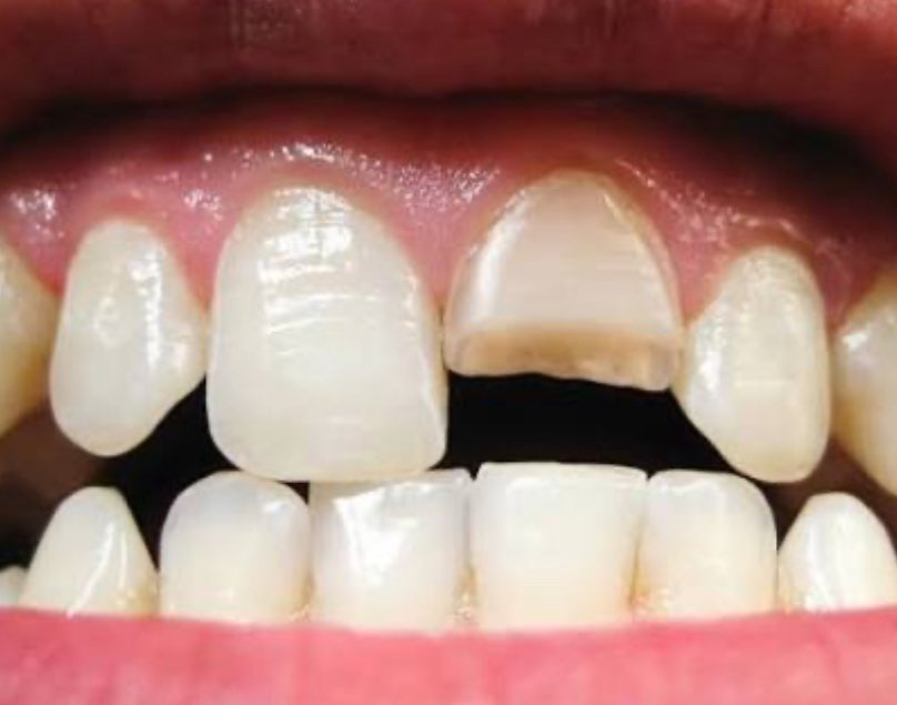
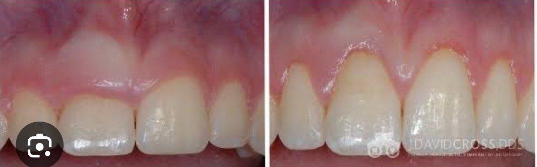
haai! adakah yang punya keluhan gigi depan patah / berlubang / berubah warna dan butuh perawatan saluran akar / PSA dan ditambal? boleh dm yaa!☺️🤗
untuk perawatannya gratis, lokasi di jakarta pusat yaaa, mau tanya2 dulu boleeeh!
#doktergigi #gratis #perawatangigi #tambalgigi




Indonesia

@syee_cccc hiii dm ku lg error nih ternyata gabisa masuk messages.. boleh dm ig ku aja kaak @/biancadisha yaaah
Indonesia
aku koas gigi yang mau dirawat boleh dm retweetledi

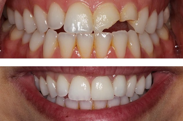
hii adakah temen2 yang gigi depannya habis di perawatan saluran akar dan mau dibuatkan crown? boleh dm yaa!!
perawatannya gratis, dibawah supervisi dokter gigi spesialis, kliniknya di daerah jakarta pusat, boleh tanya2 dulu ajaaah di dm😊
#crown #doktergigi #perawatangigi


Indonesia

@milkydott hiii dm ku lg error nih ternyata gabisa masuk messages.. boleh dm ig ku aja kaak @/biancadisha yaaah
Indonesia

@diradamaa oalaaah okaay kak akuu butuhnya yg depaan huhuu
Indonesia

@diradamaa haloo masiih nih boleh dm yaa
Indonesia
aku koas gigi yang mau dirawat boleh dm retweetledi
aku koas gigi yang mau dirawat boleh dm retweetledi
aku koas gigi yang mau dirawat boleh dm retweetledi
aku koas gigi yang mau dirawat boleh dm retweetledi

haai! adakah yang punya keluhan gigi depan patah / berlubang / berubah warna dan butuh perawatan saluran akar / PSA dan ditambal? boleh dm yaa!☺️🤗
untuk perawatannya gratis, lokasi di jakarta pusat yaaa, mau tanya2 dulu boleeeh!
#doktergigi #gratis #perawatangigi #tambalgigi




Indonesia











