Alberto Paternain retweetledi

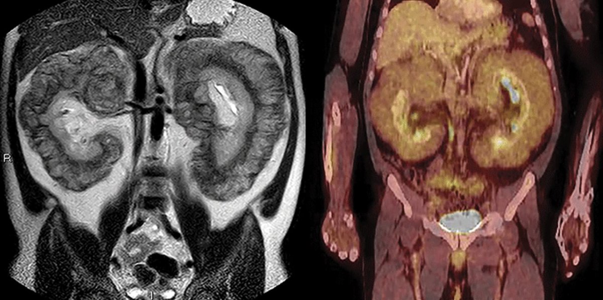
WB-DW MRI or FDG PET/CT for myeloma response? This review breaks down strengths, pitfalls, and standardized criteria (MY-RADS & Deauville). Learn how to integrate both for accurate posttreatment assessment and improved confidence. bit.ly/4viX1Wi

English






































