🌷

161 posts

🌷 banner
🌷

🌷

@alphenlibbe

helloooo! aku koas gigi jakarta pusat, yang mau konsultasi atau perawatan gigi gratiis, boleh dm aku!🧸

Katılım Eylül 2024
17 Takip Edilen15 Takipçiler
🌷
🌷@alphenlibbe·
halooo! adakah yang gigi gerahamnya berlubang besar dan goyang, serta ingin dicabut? bebas biaya perawatan, di klinik jakarta pusat, jam 8-14. boleh dm aku kalau berminaat! #cabutgigi #gigigoyang #gigiberlubang #koasgigi
Indonesia
0
0
0
39
🌷
🌷@alphenlibbe·
boleh dm aku yaa kalau berminaatt!!☺️
Indonesia
0
0
0
18
🌷
🌷@alphenlibbe·
haloo adakah yang memiliki kehilangan salah satu gigi berikut dan ingin dibuatkan bridge? - gigi geraham pertama sebelah kanan - gigi seri depan/insisif atas bebas biaya perawatan! syarat: bisa datang sampai selesai kontrol, di klinik jakarta pusat, jam 8-14
🌷 tweet media
Indonesia
1
0
0
104
🌷
🌷@alphenlibbe·
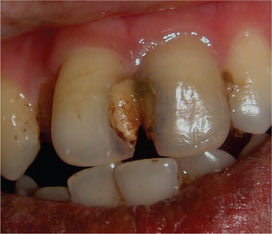
haloo! adakah yang gigi depannya berlubang, terasa sakit, dan ingin dirawat?🤗 di klinik jakarta pusat, jam 8-14, hari kerja, bebas biaya perawatan! kalau berminat boleh pc yah #gigiberlubang #perawatansaluranakar
Indonesia
0
0
0
102
🌷
🌷@alphenlibbe·
haloo teman-temaan! adakah yang gigi depannya patah/lubang besar, sudah pernah ronsen, dan ingin dilakukan perawatan saluran akar?👋🏻 perawatan bebas biaya, di klinik jakarta pusat, hari kerja, jam 8-14, dapat datang sampai kontrol selesai! boleh dm aku yaa🤗 #koasgigi
🌷 tweet media
Indonesia
0
0
0
311
🌷
🌷@alphenlibbe·
‼️GIGI PALSU LEPASAN GRATIS‼️ syarat: - hilang min. 3 gigi di rahang atas dan hilang min. 3 gigi di rahang bawah - bersedia datang pada hari kerja, jam 8-14, sampai selesai kontrol! tempat: klinik jakarta pusat bebas biayaa!! boleh dm aku kalau berminat #gigipalsu #koasgigi
Indonesia
0
0
0
232
🌷 retweetledi
🌷
🌷@alphenlibbe·
GIGI PALSU LEPASAN GRATIS #gigiompong #gigipalsu #gigitiruan #zonajajan #zonauang #gigipalsugratis syaratnyaaa: - hilang 3 gigi/lebih pada masing-masing rahang - bersedia datang sampai perawatan selesai! (klinik jakpus, hari kerja, jam 8-14) boleh dm aku kalau berminaat!
🌷@alphenlibbe

hi! adakah yang giginya hilang pada rahang atas 3 gigi/lebih, pada rahang bawah 3 gigi/lebih, dan ingin dibuatkan gigi tiruan? bebas biaya, di klinik jakarta pusat, hari kerja, jam 8-14, bersedia datang sampai selesai! boleh dm aku yahh kalau berminat☺️ #gigipalsu #koasgigi

Indonesia
0
1
0
1.3K
🌷
🌷@alphenlibbe·
kring kriiiingg!!📞📞 adakah yang giginya banyak yang ompong dan ingin dibuatkan gigi palsu lepasannn secara GRATIS??? syarat: bisa datang ke klinik jakarta pusat, hari kerja, jam 8-14, sampai selesai kontrol! boleh dm/reply kalau berminat! #gigipalsu #koasgigi #ompong
🌷@alphenlibbe

GIGI PALSU LEPASAN GRATIS haloo! adakah yang ingin dibuatkan gigi palsu lepasan BEBAS BIAYA? syaratnya: - gigi bawah hilang minimal 3 - gigi atas hilang minimal 3 - bersedia datang hingga perawatan selesai! (klinik jakarta pusat, hari kerja, jam 8-14) #gigipalsu #zonauang

Indonesia
0
1
0
327
🌷
🌷@alphenlibbe·
hai haiii! adakah yang keluarga atau tetangganya punya keluhan gigi goyang dan ingin dirawat? bebas biaya, klinik jakarta pusat, hari kerja, jam 8-14! boleh dm akuuu!!🫨 #gigigoyang #koasgigi #zonajajan #zonauang #perawatangigi
🌷@alphenlibbe

halooo! adakah yang belum pernah scaling, karang gigi menumpuk, hingga gigi terasa goyang, dan berminat untuk dirawat? klinik jakarta pusat, hari kerja, jam 8-14! boleh dm aku yaa kalau berminat👀 #karanggigi #scaling #gigigoyang #koasgigi #zonajajan #zonauang

Indonesia
0
0
0
609
🌷
🌷@alphenlibbe·
haloo! adakah yang bibir bawah bagian dalam pernah tergigit dan terbentuk lentingan biru keunguan seperti pada gambar dan ingin dirawat? bebas biaya, klinik jakarta pusat, hari kerja, jam 9-11! boleh dm aku kalau berminat!😊 #koasgigi #zonauang #zonajajan #infojakarta
🌷 tweet media
Indonesia
0
0
0
403
🌷
🌷@alphenlibbe·
haloo! adakah yang memiliki jendolan pada pipi bagian dalam karena sering tergigit dan ingin dirawat? bebas biaya, klinik jakarta pusat, hari kerja, jam 9-11! boleh dm aku kalau berminat☺️ #koasgigi #zonauang #zonajajan #caripasien #infojakarta
🌷 tweet media
Indonesia
0
0
0
347
🌷
🌷@alphenlibbe·
haloo! adakah yang memiliki sariawan pada lidah atau area lainnya di rongga mulut dan tidak kunjung sembuh? pemeriksaan dilakukan dengan supervisi spesialis penyakit mulut, bebas biaya, klinik jakarta pusat, hari kerja, jam 9-11! dm aku kalau berminat! #sariawan #koasgigi
🌷 tweet media
Indonesia
0
0
0
211