Sabitlenmiş Tweet

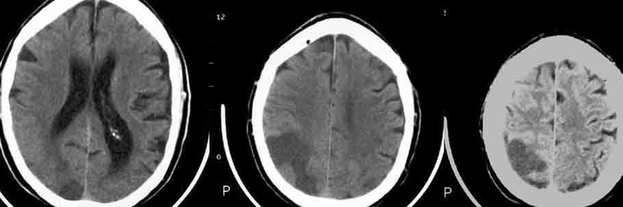
What is Aiming spatial neglect, and why is it a key to understanding prism adaptation therapy? tandfonline.com/doi/full/10.10…
English
ambarrett
1.2K posts

@ambarrett
UMass neurologist, she/her, mom, Bar Method fan, scientist. Views expressed are all mine--not of my employer, husband, or other sources except where noted.



















