Leen

5.2K posts

Leen banner
Leen

Leen

@amswt8

#Volunteer #NUR22 #Pc

Katılım Temmuz 2018
291 Takip Edilen556 Takipçiler
Leen
Leen@amswt8·
@putnvr بموت ذي اسميها اغنيه العايله نسمعها كلنا منزماننن😭😭😭
العربية
1
0
1
60
Leen
Leen@amswt8·
ب اثق بس يارب مااتمقلب واتجحفل😔
العربية
0
0
2
209
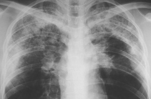
ريان | MD1TALK🌟
المستوى: صعب جدا Pulmonary edema بس القلب ابدا ماله شغل ! اللي يعرف وش نسميها ويعرف التشخيص اللي يجي معها بنرقيه رزدنت R4
ريان | MD1TALK🌟 tweet media
العربية
33
11
204
67.9K
Leen
Leen@amswt8·
@nursing2s وربي اغرب اختبار
العربية
1
0
1
146
Leen
Leen@amswt8·
@nursing2s هههههههههههههههههههههههههههههههههه واتحمس اجمع نقاط
العربية
1
0
0
83
Leen
Leen@amswt8·
لين شفيك ماعد تصورين ومختفيه انا بقوقل ماب:
Leen tweet media
العربية
2
0
18
1K
Leen
Leen@amswt8·
@llv9mi هههههههههههههههههههه بس ماني اكتف مره
العربية
0
0
0
164
☼
@H206H_·
@amswt8 الله يفرج عليك 🙌
العربية
1
0
0
65
Leen
Leen@amswt8·
يمه ايش ذا الزنقة مستحيل
العربية
2
0
2
852
Leen
Leen@amswt8·
@ruxw0 لا مو بدري ابد المنهج الي كنت اذاكره طلع مو هو الي معانا😔😔
العربية
1
0
1
113
Leen
Leen@amswt8·
@Xreem4_ كيوتتتت انا ودي استبدل الاغاني بذي الحركة
العربية
1
0
1
113
ّ
ّ@Xreem4_·
أي مرحله انتقاليه في حياتي اخصص لها عطر، اليوم اتعطرت بعطر في بداية قبولي السنه ذي بالصدفه وافتكرت كل التفاصيل 🥹!
العربية
1
0
3
275
Leen
Leen@amswt8·
@t55yl مراعاة 💕👌🏻
العربية
0
0
0
41
Leen
Leen@amswt8·
@t55yl ههههههههههههههههههههههههههههههههههههههههههههههههههههههههههههههه
العربية
0
0
0
43
Leen
Leen@amswt8·
@llv9mi على مانيلا وديني
العربية
0
0
2
145
Leen
Leen@amswt8·
@mta__4 الاولى اكثر فرق يمكن بسبب المسحة الطبية
العربية
0
0
1
89
محمد
محمد@mta__4·
أنا مصدوم فحص سكر الدم … كيف يُعقل أن مريض يغيّر جرعته يوميًا بناءً على رقم جهاز… بينما نفس الدم يعطي أرقام مختلفة؟ أهل الاختصاص، وش المخاطر؟"
العربية
522
62
1.2K
1.8M
Leen
Leen@amswt8·
كنت شاكة انتا دفعة منحوسة بس الحين تاكدت الله يدبرها
العربية
2
0
3
872
Leen
Leen@amswt8·
@lethana0 ههههههههههههههههههههههه
العربية
0
0
2
1.5K
ليثانا أو لمى
ليثانا أو لمى@lethana0·
معليش يا دكتوره مافي الا اوراق نانسي فانسي
ليثانا أو لمى tweet media
العربية
96
67
15.8K
532.2K