Sabitlenmiş Tweet
bbarisMD
2.1K posts

bbarisMD
@bbarisMD
General Surgeon / MD, FTBS Turkish Board of Surgery Certificated. Viszeralchirurgie. Husband/Father
İstanbul, Türkiye Katılım Mayıs 2019
380 Takip Edilen251 Takipçiler

@furkanngulsen 6 mağlubiyet 7 beraberliği almasak şimdi 87 puanla liderdik. Kafayı yiyorum resmen :/
Türkçe

Daha bu milimetrik pozisyonlarda Galatasaray aleyhine ofsayt çıktığını görmedim. Gözler ofsayt diyor ama sistem değil diyor.
1907Bros@1907Bros
Galatasaray'ın golünden önce Jacobs net ofsaytta!
Türkçe

@woachtung Tam saatimi buldum, sıradaki saatim bu diyorum. Bütçe ayırmaya çalışıyorum. Şak. Bir twit düşüyor önümüze. Neymiş ya bu 😊
Türkçe


@nbdnvm @atudanorder Hayat okulundan mezun arkadaşımız :) tahta karına rö öncesi BT diyor 👏👏👏
Türkçe

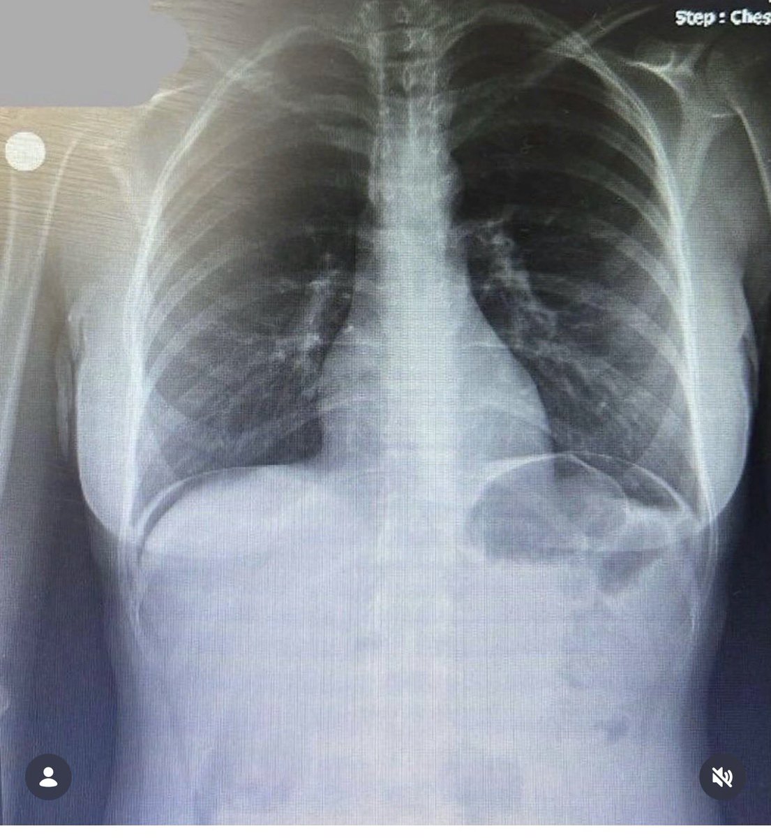
@atudanorder Gereksiz tetkik. Bu grafi çok fazla sayıda perforasyonu atlar. Muayene bulgusu olacağı için bu hastada BT endikedir. Hastayı grafiye göndermek gereksiz masraf ve işgücü harcatır. Böyle yersiz uyarılar yüzünden aciller gereksiz tetkik yuvası. Tahta karına BT çekilir, beklenmez.
Türkçe

Karın Ağrısı şikayetinde Akciğer grafisi isteme nedenimiz işte budur!!!
Şimdi hastalar ya benim karnım ağrıyor ne alaka akciğer filmi diyecek ama siz siz olun karın ağrısı şikayeti ile başvuran hastalarda Bilirkişi ilk akciğer filmi istemiş mi diye bakıyor! Eğer ki sadece adbg yani karın filmi istenmiş ama akciğer filmi istenmemiş Malpraktis sayılıyor!!! Kanıta dayalı tıp çağındayız gençler! Göğüs ağrısında da PA ac grafisi istemeyi unutmayın! Yani bir PA Ac grafisi bize çok şey anlatır ve malpraktisten korur🥰

Türkçe
bbarisMD retweetledi

@yankibuyuksezer Berkan için de Okan Hocam zevk sigarası yaktı diyorduk. Gönderdik adamı :/
Türkçe

@Trabzonspor Bir sene muhattap olmayalım güzel kardeşim. Haydi görüşürüz.
Türkçe

@keremsackaybii Mustiiiiii Singo arkaya koşuyor dikkattt 😄😄😄 Hadi Beylerrrrr
Sinirlerim bozuldu yemin ederim
Türkçe

Lan ataktayken bile yapıyor yasak değil mi bu aşırı sinir oldum kafayı yiyeceğim
kerem saç kaybı@keremsackaybii
Maç oynanırken anonsçunun bağıra bağıra konuşması ne kadar legal?
Türkçe

@herhafta1saat Gözü Rolex’te Patek’te olmayan adam o paraları kazanamaz. Selamun aleyküm hayırlı forumlar:)
Türkçe

Uğurcan İstanbul takımlarına gitmek istiyorum demedi, Fenerbahçe'ye gitmek istiyorum dedi. Telefon numarasına kadar değiştirmişti. Siz Fenerbahçe'ye gitmesin diye olağanüstü hal ilan ettiniz. Uğurcan'ın hayalleriyle oynadınız ve mecburiyetten arka bahçeniz olan takıma sattınız.
BBO Sports@bbosports
Ertuğrul Doğan: “Uğurcan'ın karşıma geçip ‘İstanbul takımlarına’ gitmek için izin istemesi, yöneticilik hayatımdaki en büyük şoklardan bir tanesi oldu.”
Türkçe

@Ahmetercanlar @AcarSertacK Umarım Ali Bey’i en yakın zamanda tekrardan başkan olarak görürüz.
Türkçe

@AcarSertacK "Bir muhabbet ki ezelden dem vurur; ne zaman aşındırır onu ne de devran unutturur. "
Türkçe
































