Sabitlenmiş Tweet

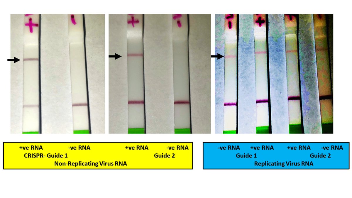
Since our patent application in May 2020 (P255422), recognizing the coronavirus negative strand as a reliable marker for replication and detection, our primary objective has been to develop
@RapidtestsEU @COVIDOversight @WHCOVIDResponse @COVID19Tracking

English


























