Koas Gigi Jogja
31 posts

Koas Gigi Jogja
@coaslyfe
Ingin konsul masalah gigi dan mulut? DM ya😉
Katılım Haziran 2024
10 Takip Edilen5 Takipçiler

@joyuri_chan Masihh kakk, boleh dm ya kak untuk mengirimkan foto giginya, terima kasih🥰
Indonesia

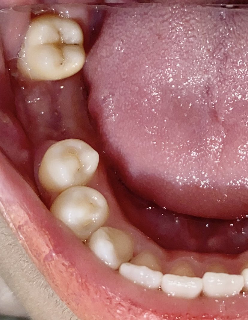
Yang memiliki keluhan gigi berlubang besar dan ingin dicabut masih bisa yaa, silakan dm☺️
Koas Gigi Jogja@coaslyfe
Punya gigi berlubang besar? Gigi yg berlubang besar bisa jadi sumber infeksi lhoo😱 Yukk konsultasi dulu terkait perawatan cabut gigi. Cabut gigi gratis ya😉 & diawasi oleh dokter spesialis, khusus untuk area Jogja🙌🏻 #cabutgigijogja
Indonesia

@hy_ashe Halloo kak kebetulan masih cari pasien untuk cabut gigi berlubang besar, boleh difotokan seperti apa kondisi giginya kak. Terima kasih☺️
Indonesia

Punya gigi berlubang besar? Gigi yg berlubang besar bisa jadi sumber infeksi lhoo😱 Yukk konsultasi dulu terkait perawatan cabut gigi.
Cabut gigi gratis ya😉 & diawasi oleh dokter spesialis, khusus untuk area Jogja🙌🏻
#cabutgigijogja

Indonesia

@auuro0raa Kondisi giginya apakah berlubang besar atau sudah sisa akar ya kak? Boleh difotokan melalui dm ya kak😊
Indonesia

Halloo! Apakah ada yang butuh perawatan cabut gigi? Bolee banget kalau mau konsultasi dulu terkait perawatan cabutnya. Perawatannya gratis dan diawasi oleh dokter spesialis, khusus untuk area Jogja yaa🙌🏻
#cabutgigijogja

Indonesia

@goo_gona Halloo kak bolee sekali silakan dm keluhannya yaa😊
Indonesia

@coaslyfe Kalo dari luar jogja apa bisa konsul online dgn kakak ?
Indonesia

@fey_goodgirl Sebetulnya masih bisa kak, trgantung sisa mahkota yang ada (setelah bagian kehitaman dihilangkan), kemudian dilihat apakah masih bisa di rawat akar lalu dibuatkan crown, atau justru mahkota sudah sangat rapuh sehingga kurang menguntungkan takutnya tidak awet. Semoga menjawab😊
Indonesia

@coaslyfe Kalau bolong besar gitu masih bisa di lakukan perawatan saluran akar ga ya?
Indonesia

Yg memiliki keluhan gigi seperti digambar boleh ketuk dm yaa kak☺️ atau kalau ada gigi berlubang besar dan berkenan dicabut serta dibuatkan gigi tiruan seperti digambar boleh banget😉
Koas Gigi Jogja@coaslyfe
Halloooo apakah ada yg memiliki keluhan gigi geraham hilang satu dan ingin dibuatkan gitu tiruan cekat / jembatan seperti di gambar? Silakan dm yaa😉 *jogjaonly
Indonesia

@akubirulangit Hallo kakk silakan dm ya untuk dikirimkan foto giginya☺️
Indonesia

Yang memiliki keluhan gigi berlubang besar dan ingin dicabut masih bisa yaa☺️☺️
Koas Gigi Jogja@coaslyfe
Punya gigi berlubang besar? Gigi yg berlubang besar bisa jadi sumber infeksi lhoo😱 Yukk konsultasi dulu terkait perawatan cabut gigi. Cabut gigi gratis ya😉 & diawasi oleh dokter spesialis, khusus untuk area Jogja🙌🏻 #cabutgigijogja
Indonesia

Adakah yang punya keluhan terdapat benjolan pada bibir atau ada yang memiliki keluhan gusi tampak membesar dan mau dilakukan perawatan? Ketuk dm ya😉 atau kalau mau konsul masalah gigi dan mulut lainnya silakan dm yaa🙌🏻
#koasgigijogja
#koasgigi


Indonesia












