CVIR Oncology
64 posts

CVIR Oncology
@cvironco
Official account of CVIR Oncology - the newest member of the CIRSE journal family and first journal dedicated to interventional oncology.
Katılım Aralık 2024
6 Takip Edilen43 Takipçiler

Read one of our latest published papers focusing on electrochemotherapy as a potential local treatment for residual MIBG-avid disease in refractory pediatric neuroblastoma: a case report
link.springer.com/article/10.100…
#IRad #oncology #interventionaloncology

English

Publishing Open Access (OA) makes your work accessible online for everyone, worldwide. 🌍
Check if your institution is eligible for Open Access funding options today here:
link.springer.com/journal/44343/…
English

Wondering which CVIR Oncology articles topped the download charts in 2025? 📊
Explore the top five here cvironcology.org/for-readers/mo… 🌟
#IRad #interventionaloncology #openaccess

English

Read our most recently published article on the impact of interventional radiology on cancer care in sub-Saharan Africa
link.springer.com/article/10.100…
#IRad #oncology #interventionaloncology

English

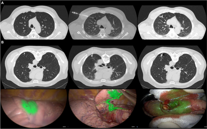
One of our latest articles published focuses on CT-guided percutaneous marking of lung nodules using patent blue V and indocyanine green
link.springer.com/article/10.100…
#IRad #oncology #interventionaloncology

English

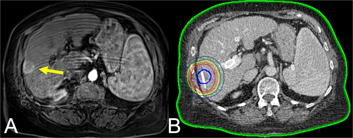
Read our recently published article on the effects of measurement errors on minimum ablative margins after thermal ablation of liver tumors: a simulation study
link.springer.com/article/10.100…
#IRad #oncology #interventionaloncology

English

Our recently published article explores mapping drug distribution using CT imaging following direct tissue injection in ex vivo liver: informing clinical implementation
link.springer.com/article/10.100…
#IRad #oncology #interventionaloncology

English

One of our latest published articles explores feasibility and safety of CT guided high dose rate brachytherapy of liver tumors performed under conscious sedation with analgesia
link.springer.com/article/10.100…
#IRad #oncology #interventionaloncology

English

Read our recently published paper on technical and Clinical Outcomes of Embolization of Hypervascular Renal Tumors Using Tantalum-Loaded Obsidio Conformable Embolic (Ta-OCE): a single-center experience
link.springer.com/article/10.100…
#IRad #oncology #interventionaloncology

English

This paper explores transarterial embolization with a low-viscosity ethylene vinyl alcohol (EVOH) copolymer for ruptured hepatocellular carcinoma: an oncologic role beyond hemostasis
link.springer.com/article/10.100…
#IRad #oncology #interventionaloncology

English

Welcome 2026 from all of us at CVIR Oncology! 🎉
We can’t wait for the exciting projects and events ahead.
For now, here’s a peek at all of our published articles during 2025:
link.springer.com/journal/44343/…
#IRad #oncology #interventionaloncology

English

Celebrate Christmas with this interesting read: out of sight, out of mind: interventional oncology’s underrepresentation in undergraduate medical education
link.springer.com/article/10.100…
#oncology #interventionaloncology #IRad

English

Read our recently published paper on the feasibility of radiation dose reduction with AI-based spectral reconstruction for computed tomography
link.springer.com/article/10.100…
#IRad #oncology #interventionaloncology

English

This paper focuses on image-guided cryoablation of soft-tissue metastases in patients with oligoprogressive disease: analysis of feasibility, safety, and efficacy
link.springer.com/article/10.100…
#IRad #oncology #interventionaloncology

English

Our latest published paper focuses on high-concentration doxorubicin in cTACE: a retrospective cohort study of efficacy and safety
link.springer.com/article/10.100…
#IRad #oncology #interventionaloncology

English

Our latest published article focuses on high-concentration doxorubicin in cTACE: a retrospective cohort study of efficacy and safety
link.springer.com/article/10.100…
#IRad #oncology #interventionaloncology

English

Read out latest published article: too close for comfort? Assessing the impact of thermoprotective techniques in image-guided ablation of musculoskeletal tumors
link.springer.com/article/10.100…
#IRad #interventionaloncology #oncology

English

Our latest published article explores irreversible electroporation as a definitive treatment for early-stage HCC unsuitable for thermal ablation: insights from a tertiary liver centre
link.springer.com/article/10.100…
#IRad #oncology #interventionaloncology

English

Our latest published article explores fiducial marker-assisted microwave ablation of hepatocellular carcinoma: achieving margins without contrast
link.springer.com/article/10.100…
#IRad #oncology #interventionaloncology

English