Dermnemonics

54 posts

Dermnemonics banner
Dermnemonics

Dermnemonics

@dermnemonics

Learn derm the fun way! Dermnemonics offers fun and memorable ways to learn derm for life!

Katılım Mayıs 2020
190 Takip Edilen191 Takipçiler
Dermnemonics
Dermnemonics@dermnemonics·
What's your diagnosis? Bonus question, what is the name for the pattern of radial spread seen in this plaque?
Dermnemonics tweet media
English
0
0
2
0
Dermnemonics
Dermnemonics@dermnemonics·
For those who said bullous fixed drug, good work!
GIF
English
0
0
1
0
Dermnemonics
Dermnemonics@dermnemonics·
A patient tells you this is the 5th time getting a blister here (note the hyperpigmentation). What's your diagnosis?
Dermnemonics tweet media
English
4
0
6
0
Dermnemonics
Dermnemonics@dermnemonics·
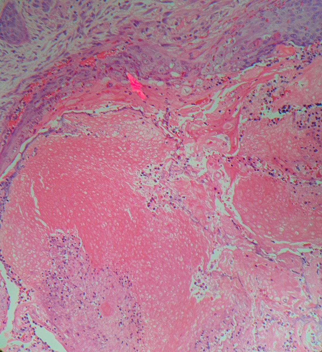
Beatiful ghost cells
Dermnemonics tweet media
English
0
0
3
0
Dermnemonics
Dermnemonics@dermnemonics·
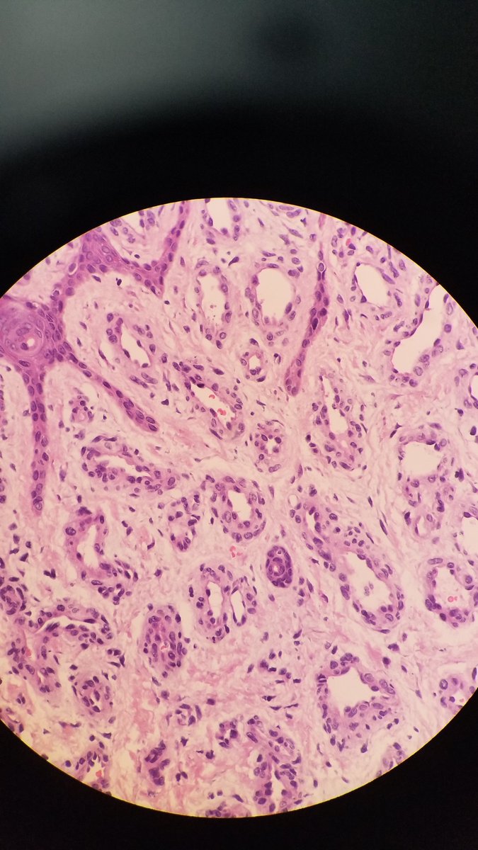
Can you identify the structure the arrow is pointing to and give a diagnosis?
Dermnemonics tweet media
English
15
37
123
0
Dermnemonics
Dermnemonics@dermnemonics·
Learn the key features and risks of LUMBAR syndrome! Also, if you support our work, please like and share our videos! youtu.be/95q7H-_AXGg
YouTube video
YouTube
English
0
0
0
0
Dermnemonics
Dermnemonics@dermnemonics·
PPK +numerous modules on the chest, think Pachyonychia congenita (watch our video for more info). The nodules are steatocystomas. Another reply I got, cutaneous metastasis, is also something you should always consider in patients without a lifelong history of these changes.
Dermnemonics tweet mediaDermnemonics tweet media
English
0
0
1
0
Dermnemonics
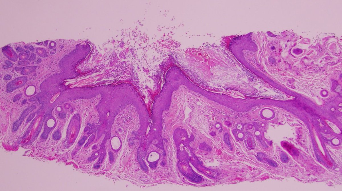
Dermnemonics@dermnemonics·
A patient with the below finding and numerous cystic nodules scattered over the chest should raise concern for what diagnosis?
Dermnemonics tweet media
English
1
0
5
0
Dermnemonics
Dermnemonics@dermnemonics·
Nomenclature and histopath features of follicular tumors can get hairy, but let Dermnemonics help you! A special thanks to Drs. Edward Fulton and @JMGardnerMD who wrote the paper used as a reference! Benign follicular tumors (part 1) youtu.be/Wc6NFX6oS1U via @YouTube
YouTube video
YouTube
English
0
5
12
0
171909771
171909771@kingjackiechan·
A congenital nodule dorsum of feet, 2 months infant, help me to name it, thanks #dermpath @Dermpathl
171909771 tweet media171909771 tweet media171909771 tweet media
English
7
5
17
0
Dermnemonics
Dermnemonics@dermnemonics·
We're looking for student and resident ambassadors to help us spread the word about Dermnemonics! If you're interested in this new opportunity and want to learn more about the benefits and what your role would be, please send us an email at Dermnemonics@gmail.com!
Dermnemonics tweet media
English
0
0
0
0
Dermnemonics
Dermnemonics@dermnemonics·
Great job @ObayomiMD and @cullen_lilley ! This is classic - pearly pink papule with rolled borders, branching telangiectasias, and central hemorrhage.
English
0
0
1
0
Dermnemonics
Dermnemonics@dermnemonics·
Here's a softball for your Thursday morning. What's the diagnosis?
Dermnemonics tweet media
English
3
1
5
0