
@AdvoBarryRoux You must be lying 😲, took her to school 🎓, paid all the fees, then cheated on him and got pregnant 🙆🏾♂️🙆🏾♂️. Nah I don't believe this friction story 😧
English
Sikelela
97 posts

@dixiebarca
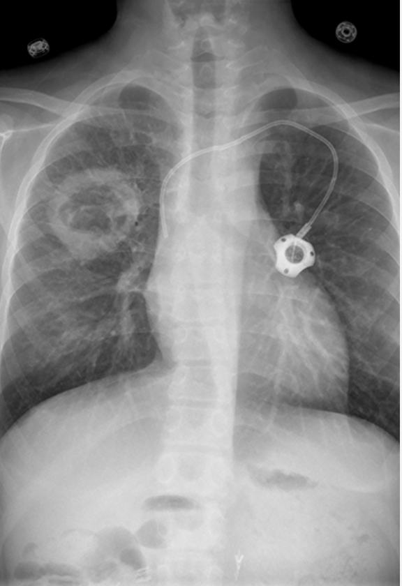
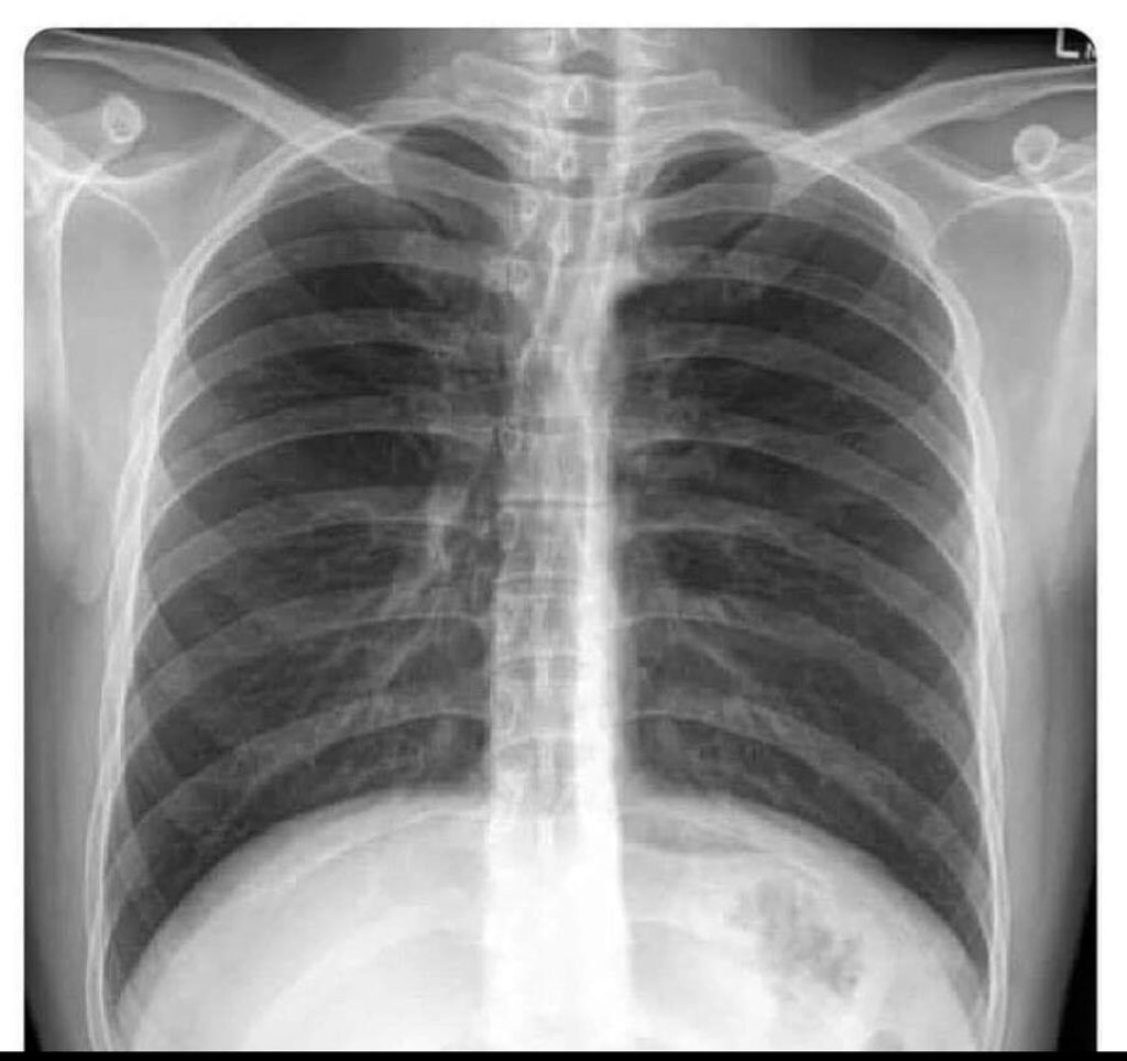
Cardiac surgeon/Endoscopic cardiac surgery/Aortic interventional procedure/Acute trauma care/Tracheobronchial surgery






The ciders? Was it for a bucket (6) or a single cider?

[WATCH] ANC Youth League President Collen Malatji reacts to KZN Police Commissioner Nhlanhla Mkhwanazi's remarks implicating Police Minister Senzo Mchunu on political interference in investigations. #Newzroom405


