
Joshua Tepper
34 posts

Joshua Tepper
@dr_tepper
Interventional Radiologist specializing in treatment of Venous Disease, Chicago
Deerfield, Illinois Katılım Ocak 2014
57 Takip Edilen82 Takipçiler

Joshua Tepper retweetledi

Stryker's Spinejack procedure treats vertebral compression fractures - Video | WFLD fox32chicago.com/mornings/38611…
English

Stryker Spine Jack case at L4. First IR to place in Illinois! Patient feels great. Thanks to amazing Stryker support from Mike Villano. #Spinejack #jackit @mjvillano @Interventional2 #IRad #InterventionalRadiology #IamIR #IR #interventionalspine

English

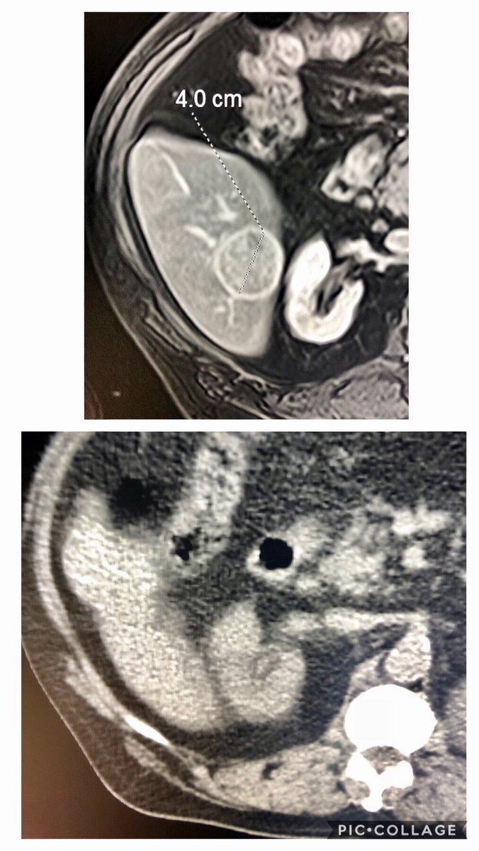
@BTGIO @PresenceHealth 72 M radiation segmentectomy in 2015 Follow up clinic 9/2018 shows no evidence of disease #iRad #y90glass #withoutascalpel #IROnc

English

Melania was embolized by an Interventional Radiologist. Have you been embolized? I bland embolize, particle embolize, chemo embolize, radio embolize, and coil embolize. What do you need done? Ask an IR today. #interventionalradiology #minimallyinvasiveprocedures #embolize
English

Help me change the face of men’s health this #Movember by making a donation to my moustache: mobro.co/joshuatepper?m… @Movember
English

Help me change the face of men’s health this #Movember by making a donation to my moustache: mobro.co/joshuatepper @Movember
English








