Manish Kumar Yadav

1.5K posts

Manish Kumar Yadav

Manish Kumar Yadav

@drmanishy

Neuro and Vascular Interventional Radiologist

Trivandrum, India Katılım Aralık 2011
841 Takip Edilen728 Takipçiler
Manish Kumar Yadav
Manish Kumar Yadav@drmanishy·
Case Study: 50M with cardiac comorbidities & 2cm renal lesion. Approach: Image-guided biopsy followed by Cryoablation. ❄️ By using extreme cold to ablate the tumor, we provided a definitive, organ-sparing treatment without the risks of major surgery.
Manish Kumar Yadav tweet mediaManish Kumar Yadav tweet mediaManish Kumar Yadav tweet media
English
1
0
4
255
Manish Kumar Yadav
Manish Kumar Yadav@drmanishy·
Recurrent hematuria in a 20yo patient solved! CT angiogram found a small renal AVM, which we successfully embolized using Onyx LES. Precise, organ-sparing treatment leading to rapid recovery. This is the power of Interventional Radiology! #AVM #Embolization #IR #KidneyHealth
Manish Kumar Yadav tweet mediaManish Kumar Yadav tweet mediaManish Kumar Yadav tweet media
English
0
0
2
118
Manish Kumar Yadav
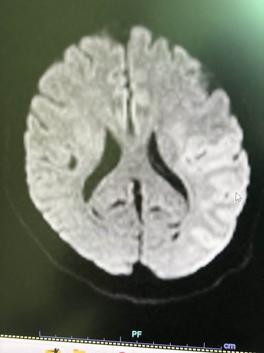
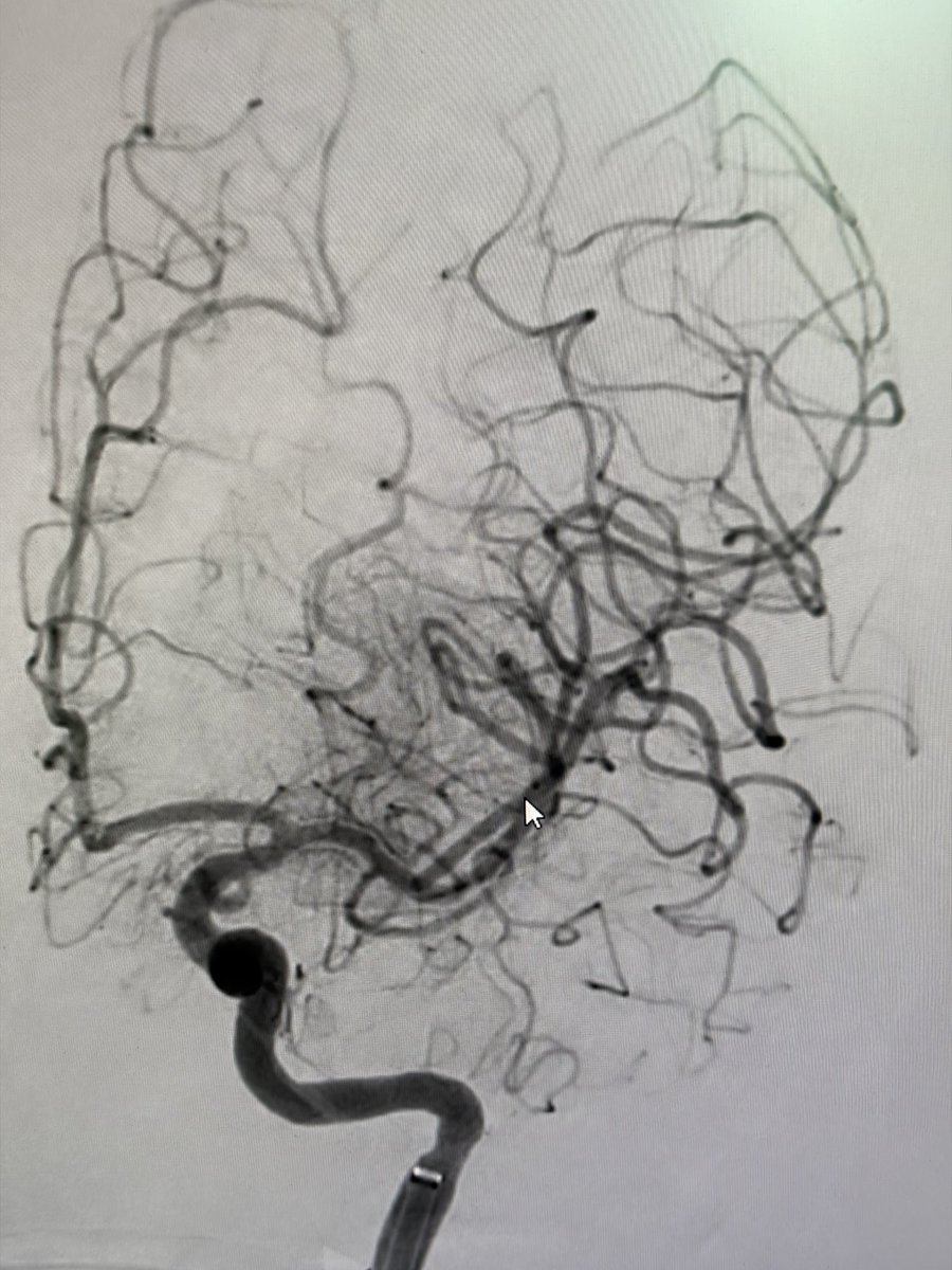
Manish Kumar Yadav@drmanishy·
Two weeks ago, a 54-year-old patient recovering from open-heart surgery (CABG) suffered a major stroke. • Symptoms: Sudden inability to speak + right-side paralysis. • Action: Immediate Mechanical Thrombectomy to remove the brain clot.
Manish Kumar Yadav tweet mediaManish Kumar Yadav tweet mediaManish Kumar Yadav tweet mediaManish Kumar Yadav tweet media
English
1
0
0
105
Manish Kumar Yadav
Manish Kumar Yadav@drmanishy·
3-month follow-up on a 42yo patient with a large ophthalmic segment aneurysm. 🧠 Treatment: Flow Diversion + Coils (to modulate thrombus organization). Outcome: Angio shows complete vessel healing and total occlusion. From diagnosis to cure in 90 days.
Manish Kumar Yadav tweet mediaManish Kumar Yadav tweet media
English
1
0
1
24
Manish Kumar Yadav
Manish Kumar Yadav@drmanishy·
Fruitful meeting with the surgical community in #Kollam! 🏥 We held a case-based discussion on the critical role of Interventional Radiology in Surgical Emergencies. When Surgeons and IR specialists collaborate, patient safety and outcomes improve significantly. Great exchange of
Manish Kumar Yadav tweet mediaManish Kumar Yadav tweet mediaManish Kumar Yadav tweet mediaManish Kumar Yadav tweet media
English
1
0
1
28
Manish Kumar Yadav
Manish Kumar Yadav@drmanishy·
Time is Brain. 🧠 Had a powerful roundtable with the city’s Emergency Physicians. We discussed the critical "Golden Hour" in Neurovascular emergencies. Seamless teamwork between the ER frontline and Neuro specialists doesn't just save lives—it preserves quality of life.
English
1
0
1
11
Manish Kumar Yadav
Manish Kumar Yadav@drmanishy·
sole imaging and guiding modality not only during fistula plasty but also as a tool for evaluation both pre-and post procedure.
English
0
0
0
8
Manish Kumar Yadav
Manish Kumar Yadav@drmanishy·
Had the privilege of Discussing the role of Doppler assessment for AV fistula in CKD patients at recently concluded annual conference of IRIA Kerala chapter. Doppler is an inseparable tool for evaluation of Av fistula for dialysis access. Most centers also use ultrasound as the
Manish Kumar Yadav tweet media
English
1
0
0
29
Manish Kumar Yadav
Manish Kumar Yadav@drmanishy·
with hemoptysis or hypoxemia. •Early diagnosis and endovascular management are crucial to prevent complications like stroke and massive hemoptysis. •Embolization is the standard of care for simple AVMs with accessible feeding vessels. 🔗 #InterventionalRadiology #PulmonaryAVM
English
1
0
0
27
Manish Kumar Yadav
Manish Kumar Yadav@drmanishy·
Pulmonary AVM Case Study 🩺 Case Highlight: 17-year-old male presenting with hemoptysis. Imaging revealed a simple pulmonary arteriovenous malformation (AVM). Key Imaging Findings: •CT Pulmonary Angiography: Clear demonstration of a solitary AVM with feeding artery and
Manish Kumar Yadav tweet mediaManish Kumar Yadav tweet mediaManish Kumar Yadav tweet mediaManish Kumar Yadav tweet media
English
1
0
0
49
Manish Kumar Yadav
Manish Kumar Yadav@drmanishy·
Left superior thyroid angiogram in this patient with multinodular goiter and retrosternal extension. Angiogram shows the necklace anastamosis between the two superior thyroid arteries and also with left inferior thyroid artery. @hospital_kims @ISVIRIndia @SIRRFS @JVIRmedia
Manish Kumar Yadav tweet mediaManish Kumar Yadav tweet media
English
1
0
2
136
Manish Kumar Yadav retweetledi
The Heart
The Heart@ZHeart11768530·
🔴 CT CHEST signs
The Heart tweet media
English
1
108
507
55.4K