Ernst Garcon

49 posts

Ernst Garcon

Ernst Garcon

@egarcon

Katılım Haziran 2009
63 Takip Edilen36 Takipçiler
Columbia Radiology
Columbia Radiology@columbiaimaging·
Congratulations, thank you, and best of luck to our graduating residents! 🎓 We'll miss you and wish you all the best in your fellowships and beyond! @columbiaradres
Columbia Radiology tweet media
English
1
0
14
0
Columbia Radiology
Columbia Radiology@columbiaimaging·
Thank you Columbia Radiology residents! ❤️ For the hard work, skill, and dedication you have shown every single day, especially during this challenging year, we are grateful 🙏. @columbiaradres #ThankaResidentDay
Columbia Radiology tweet mediaColumbia Radiology tweet mediaColumbia Radiology tweet media
English
1
5
19
0
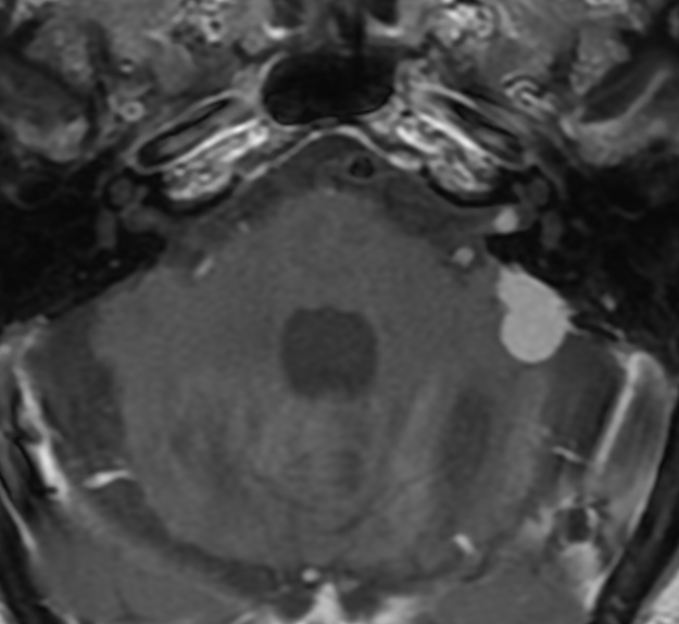
Gul Moonis
Gul Moonis@gmoonis·
When one image suffices for the two commonest lesions of the IAC/CPA, vestibular schwannoma and meningioma on the same side #radres #hnrad @columbiaimaging
Gul Moonis tweet media
English
5
9
94
0
Ernst Garcon
Ernst Garcon@egarcon·
RSNA Committee on International Radiology Education: 25 Years of Global Education Outreach
English
1
0
0
0
Ernst Garcon
Ernst Garcon@egarcon·
@gmoonis Not a good idea. At least someone should be able to lead their life. Otherwise it’s a big risk to let someone else lead you in the wrong direction.
English
0
0
0
0
Ernst Garcon
Ernst Garcon@egarcon·
@drankitbalani @gmoonis @WendeNGibbs Most likely acute inflammation because of Modic changes of acute inflammation in the end-plate. Atypical for mets to start in the end plate since the disc is avascular.
English
0
0
1
0
Dr Ankit Balani, DMRD, DNB, FRCR
Dr Ankit Balani, DMRD, DNB, FRCR@drankitbalani·
@gmoonis @WendeNGibbs A similar case I came across today. Elderly male, known carcinoma lung for evaluation of backache. Enhancing end plate lesion with perifocal edema. Is it acute Schmorl’s node??
Dr Ankit Balani, DMRD, DNB, FRCR tweet media
English
3
1
7
0
Gul Moonis
Gul Moonis@gmoonis·
Enhancing Schmorl's node without end plate edema L1-L2( incidental schwannoma at same level). Would the spine folks call it acute schmorl's node? Invoke infection? #neurorad #spinerad #radres
Gul Moonis tweet media
English
6
3
31
0
Ilson Sepulveda A. DMD, MSc
Ilson Sepulveda A. DMD, MSc@iasepulveda·
CT Sialogram: Bilateral Chronic Recurrent Parotitis.
Ilson Sepulveda A. DMD, MSc tweet media
Concepción, Chile 🇨🇱 English
9
18
73
0