Ehsan Mohammad Hosseini
3.8K posts

Ehsan Mohammad Hosseini
@ehsan_m_h76
Neurosurgeon, Fellowship of Neurointervention and Neurovascular. Interested in: AVM, Aneurysm, AVF, Spinal Vascular Lesion, CCF, Cavernoma and Skull Base Lesion
Namazi Hospital, Shiraz, Iran Katılım Eylül 2017
2.1K Takip Edilen3.6K Takipçiler

کلا گربه با هر شرایطی سازگاره و تا وقتی تو خونه نیاد موجود جالبیه،
x.com/ehsan_m_h76/st…

Ehsan Mohammad Hosseini@ehsan_m_h76
هر صبح و عصر میاد و سهم غذاش رو میگیره و میره.
فارسی

اگه طراحیم خوب بود هر کدوم این عکسا رو به شکل دردی که ایجاد میکنن، طرح میزدم.
به طرز غمناکی، جالب به نظر میرسه.
Ehsan Mohammad Hosseini@ehsan_m_h76
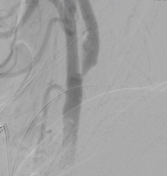
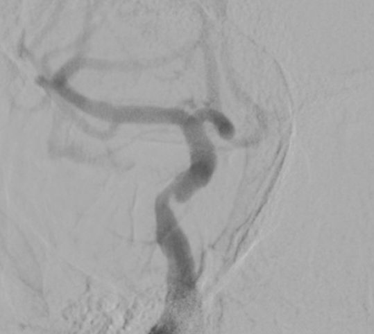
همه در یک بیمار. کاروتید راست:دایسکشن کاروتید چپ: تنگی شدید ورتبرال چپ: بسته شدن کامل از ابتدای شریان ورتبرال راست: دایسکشن و آنوریسم. درمان: استنت کویل در ورتبرال راست و نیز استنت کاروتید چپ. ادامه درمان با ضد پلاکت.
فارسی

@ehsan_m_h76 @pdsagittarius میخواستم یه شاهکار ۴۰۰ میلیونی از یه نوروسرجن رو بگم دیدم گل به خودیه
فارسی

























