Sabitlenmiş Tweet
Julie Feldstein,MD
45.6K posts

Julie Feldstein,MD
@feldstej
Chief Pathologist @Histowiz #Telepathology #DigitalPathology #AI @NCI @msk @CAP @mssm #mom #pathpower20 @PathOutlines @ASHScientificCommittee
New York, NY Katılım Mart 2012
3.8K Takip Edilen6.7K Takipçiler
Julie Feldstein,MD retweetledi

Legend of HemePath.
Dr. Elaine Jaffe reflects on the discoveries that shaped lymphoma classification, lineage plasticity, and today’s diagnostic challenges.
A brilliant interview every pathologist should read.
ow.ly/en5P50XvHBz
#PathTwitter #Lymphoma #HemPath

English
Julie Feldstein,MD retweetledi

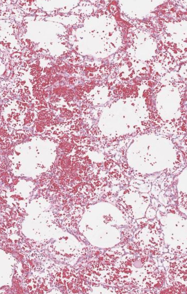
🔬📷 Hepatic Necrosis (Reticulin Stain) ~ Collapse of reticulin fiber framework (center of image) in a case of subacute hepatic failure ~ #Pathology #Liver #Hepatology #GIpath #Histology #PathArt

English
Julie Feldstein,MD retweetledi
Julie Feldstein,MD retweetledi

🔬📸 Fungus Kaleidoscope! (A dense bed of fungal hyphae seen on a GMS stain control slide) ~ #PathArt 🎨

English
Julie Feldstein,MD retweetledi

thepathologist.com/issues/2025/ar…
My career in a nutshell
Glad to share
The Pathologist
English
Julie Feldstein,MD retweetledi

.@MinaXu7 presents a major step forward for mapping lymphoma epigenetics! epi-Patho-DBiT, brings spatial epigenomics to lymphoma FFPE samples. The platform uncovers chromatin changes, CNAs, tumor evolution, and gene-regulatory quirks. #ASH25 @RongFan8 @yalepathology @YaleHematology @OncoAlert


English
Julie Feldstein,MD retweetledi
Julie Feldstein,MD retweetledi

Watch ASH News TV for in depth coverage from #ASH25. See the science, hear from leaders, and follow the updates unfolding live. Watch now: ow.ly/rWFn50XF7yU #Hematology #HemeOnc
English














