Dr. Francisco Vílchez

2.9K posts

Dr. Francisco Vílchez banner
Dr. Francisco Vílchez

Dr. Francisco Vílchez

@franvilmar

Dermatólogo malagueño. Facultativo Especialista en @DermaHUVN @hospital_hvn. Miembro investigador de @ibsGRANADA. Doctor por @InfoUma (MD PhD). Cuenta personal

Granada, España Katılım Ekim 2012
1.3K Takip Edilen3.1K Takipçiler
Dr. Francisco Vílchez retweetledi
Carmen Fúnez
Carmen Fúnez@carmenfunezdg·
Una ministra debe resolver problemas, no crearlos ni enfrentarse a los profesionales. Mónica García ha hecho justo lo contrario: confrontar e insultar a los médicos desde el primer día. Ese es su legado: una sanidad rehén de su ideología.
Español
41
133
373
8K
Dr. Francisco Vílchez retweetledi
Antonio Sanz Cabello
Antonio Sanz Cabello@antoniosanz·
La soberbia y la falta de diálogo de la ministra de Sanidad con los médicos tienen consecuencias: ❌Más de 767.000 actos asistenciales suspendidos. ❌impacto económico de 111 M€ No se puede ignorar una situación que ya afecta a cientos de miles de pacientes. He solicitado que se incluya este tema en el Consejo Interterritorial. Urge diálogo. Urge responsabilidad
Español
50
87
241
10K
ESTATUTO MEDICO YA
ESTATUTO MEDICO YA@Estatuto_Medico·
@CollOrduna Me quedo loquer, ¿una sociedad enfermeril está planteando volver a la sanidad de hace 70 años? El que pueda que se haga seguro privado, lo que viene para el SNS es muy grave.
Español
1
1
21
458
Ignacio Coll-Orduña ⚖️☠️
Y antes te operaban los barberos, pero por suerte hemos evolucionado. Zapatero a tus zapatos. Cada profesional tiene sus competencias de acuerdo a su formación, todo para garantizar la seguridad del paciente.
Ignacio Coll-Orduña ⚖️☠️ tweet media
Español
8
26
141
8.2K
Dr. Francisco Vílchez
Dr. Francisco Vílchez@franvilmar·
Lejos de recular y negociar, la ministra de sanidad sigue su hoja de ruta metiéndole mano ahora a la LOPS, en una línea estratégica similar al desastroso borrador de Estatuto Marco que ha planeado. En mi humilde opinión, la negociación es una vía muerta y sólo queda su dimisión.
El Mundo Salud@elmundosalud

Crece la presión política sobre Mónica García ante la huelga de médicos: los socios del Gobierno y las Comunidades Autónomas le exigen negociar #Echobox=1774067250" target="_blank" rel="nofollow noopener">elmundo.es/ciencia-y-salu…

Español
0
1
4
231
Dr. Francisco Vílchez
Dr. Francisco Vílchez@franvilmar·
Si Bianca acaba haciendo Derma se dará cuenta de la importancia de saber Anatomía Patológica en nuestra especialidad y, sobre todo, a respetar y a llevarse bien con los patólogos.
mir64@mir64_

Español
5
11
191
28.5K
Dr. Francisco Vílchez retweetledi
American Journal of Dermatopathology
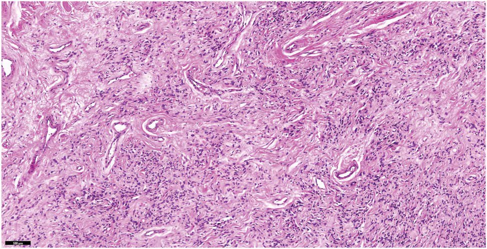
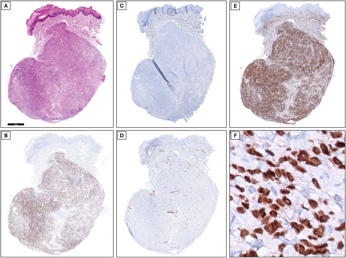
#ClinicalPathologicChallenge 71F with painless nodule on the lower lip H/E: Well-circumscribed nonencapsulated tumor composed of bland spindle cells in a collagenous stroma with a prominent, branching (“staghorn”) vascular pattern. IHC:- B: CD34, C:S100, D:SMA, E and F: STAT6
American Journal of Dermatopathology tweet mediaAmerican Journal of Dermatopathology tweet mediaAmerican Journal of Dermatopathology tweet media
English
2
7
25
1.5K
Dr. Francisco Vílchez retweetledi
Chuslolo 💗
Chuslolo 💗@doctorchuslolo·
Mónica, cuando usted y yo hicimos huelga por las privatizaciones de hospitales de la Comunidad de Madrid ¿Hubiese dado por bueno que el señor Fernández-Lasketty se hubiese reunido con el colegio de médicos y las facultades de Medicina para frenar la huelga? Ya le digo yo que no. Los demás no hemos cambiado, usted si.
Español
5
40
142
4.7K
Dr. Francisco Vílchez retweetledi
Dr. Francisco Vílchez retweetledi
María José García Mateos
María José García Mateos@mariajocesm·
❌ “Mónica, estás sola y amortizada.” 5 días de huelga. 177.000 médicos ignorados. Cuando se pierde a los médicos, se pierde la sanidad 👉 “Estás a tiempo. No mucho.” Compártelo:
María José García Mateos tweet media
Español
8
202
416
7.2K
Dr. Francisco Vílchez retweetledi
Junta de Andalucía
Junta de Andalucía@AndaluciaJunta·
❌La huelga por el Estatuto Marco contra el Ministerio de Sanidad obliga a suspender casi 300.000 actos médicos en Andalucía. 🏥En los hospitales andaluces se han candelado 96.524 consultas, 20.618 pruebas y 5.007 operaciones en los cinco días de huelga. opgob.es/e5sdu6
Español
19
42
80
9.3K
OmarPediatríay+
OmarPediatríay+@pediatra72·
Algún fanático de las pelis de J-Horror ?( películas de horror japonesas )
OmarPediatríay+ tweet mediaOmarPediatríay+ tweet mediaOmarPediatríay+ tweet media
Español
1
0
1
147
Dr. Francisco Vílchez
Dr. Francisco Vílchez@franvilmar·
Mentir a la población para posicionarla en contra de los médicos. Medios afines a @Monica_Garcia_G mintiendo descaradamente, sin que la ministra lo desmienta. No se han desatendido ni diálisis ni a pacientes oncológicos. Esperamos rectificación @_InakiLopez_ @cristina_pardo
Felipe Díez del Hoyo@Felipediezhoyo

¿4º día de huelga y me pregunto si han fallecido ya los 70.000 pacientes en diálisis que hay en 🇪🇸 o es otra trolada más (en este caso consentida) de la ministra? @_InakiLopez_ @cristina_pardo (desconozco si hay rectificación o desmentido, pero es de bandera el comentario)

Español
20
263
518
10.6K