Sabitlenmiş Tweet

@GEHealthCare announces intent to acquire #icometrix to strengthen neurology portfolio with brain MRI assessment solutions
gehealthcare.com/about/newsroom…
English
icometrix
1.3K posts

@icometrix
The expert in brain imaging AI solutions to obtain clinically meaningful data from brain MRI and CT scans for patients with neurological diseases #icobrain















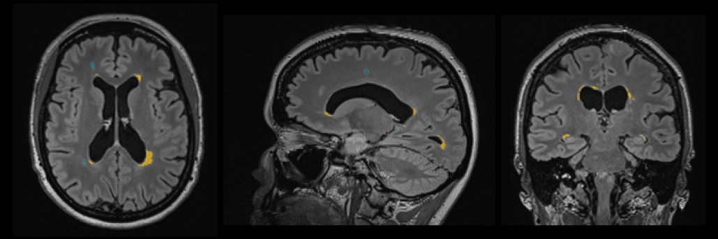
Big news!! We are proud to announce that @RadiologyACR and @icometrix are collaborating to advance Alzheimer's care, by creating awareness and AI support fort monitoring #ARIA icometrix.com/news/american-…







Read the incredible journey that led to the new icometrix #CPTcodes (0865T/0866T) in the US! The emphasis on scientific validation & peer-reviewed evidence, deeply ingrained in our DNA from its academic origins, sets a remarkable standard for the industry. tinyurl.com/5x6bjzw2

