Sabitlenmiş Tweet
ummjuneyd
39.8K posts

ummjuneyd
@ilmscan
#THPI from Cambridge university to Umm al qura university (mecca)
Katılım Haziran 2013
1.4K Takip Edilen7.1K Takipçiler

@peintresses celui là
ummjuneyd@ilmscan
⚠️si vous devez demander une seule chose a Allah c’est la Santé je suis tellement choquée par le cas d’une patiente de 22 ans diagnostiquée d’un cancer gastrique de stade 4 ,donc cancer avec métastases alors que son unique symptôme était : ballonnements et rots excessifs 1/
Français

@MaleAvise @lacryptoday le Lymphome T associé à l’entéropathie (EATL)est un cancer directement lié à une maladie cœliaque active ou non traitée
Français

@lacryptoday @ilmscan Dans ma famille il est arrivé la mm chose avec encore moins de symptômes, d’un coup forte douleur direction les urgences pour l’annonce. Lymphome T stade 4 ayant touché la moelle osseuse. 6 mois de protocole, chimio, puis infection pulmonaire fatale. Faites des bilans réguliers.
Français

Ha ha tout les symptômes.. 💀
ummjuneyd@ilmscan
⚠️je vois que mon post précédent a inquiété beaucoup de personnes,et c’est totalement compréhensible💔 Mais il est très important de rappeler quelque chose d’essentiel: Dans la grande majorité des cas,des symptômes comme les ballonnements, les rots excessifs ou l’inconfort 1/
Français

c’est une maladie neuro dégénérative pour laquelle il n'existe pas de traitement curatif comme la majorité des démences.
ce diagnostic a permis à ce patient de ne pas aller en prison,il n'a pas été tenu responsable de ses actes
#medecine #neurologie #demence
Français

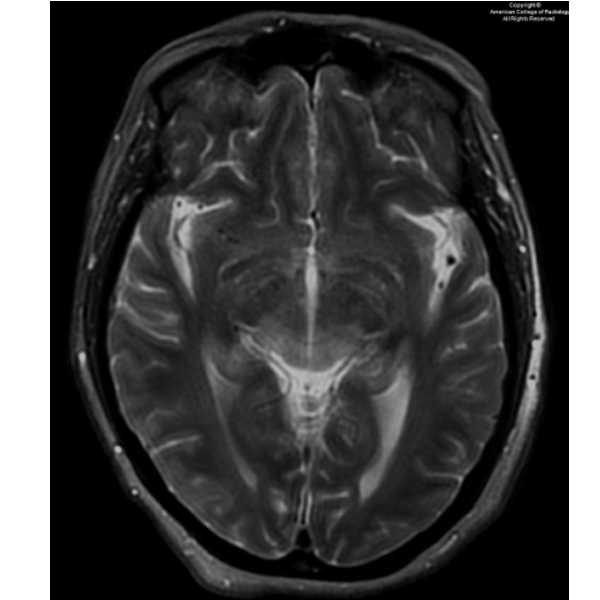
A 63-year-old female presents to the ED with right arm weakness, seizures, and confusion. #ACRCaseinPoint bit.ly/4lT0s1r

English






