Sabitlenmiş Tweet
かんなぎ
3.4K posts

かんなぎ
@kannagi22
Photographer. Selected for the 2024 JPS Exhibition (under my legal name). Gallery exhibited works are available for sale (price negotiable).1点のみ限定販売(応相談、追加無)
Japan Katılım Mart 2018
629 Takip Edilen1.7K Takipçiler

@B57ObzPrUs6neYK ご返信ありがとうございます。
身体は気がつかないうちに
悪くなったりしますね。
少しでも良くなりますように。
私も頑張ります。
日本語

@kannagi22 お気遣いいただきありがとうございます🙇
気付かないうちに、四六時中痛むほど悪化していたなんて・・・健康第一です!
かんなぎさんも、お体を大切に🙏
日本語

@nagayoshy そうですね。
ここは独特の文化で
服装も昭和の個性的な文化
が残っていて
惹かれます。
昔の新世界と呼ばれていた頃と
違う雰囲気になっていたので
カオス気味にあえて
組写真にしました。
日本語

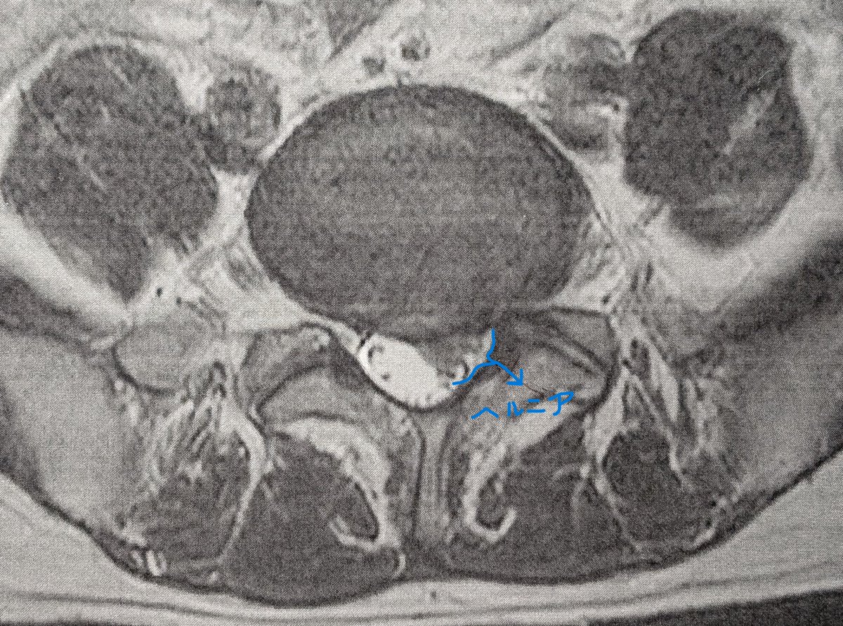
今日は予約していた診療へ
午前中には終わると思ってたけど甘かった
専門医とあって血液検査の結果からエコー、MRI、胃カメラ
初日のCTを入れるとフルコンボとなりました😅
重篤な病変は無いがベストは外科的治療は変わらずですが
今回は一先ず薬で経過観察としました、やれやれ💦
#Xperia

日本語

@mmQ6YwdIE3qUz95 今日は、古い写真のストックを使ってみました。
4月も半ばに入りましたね。
明日も良い一日をお過ごしください。
いつもありがとう😊ございます。
日本語


















