Karan Shetty
2.9K posts

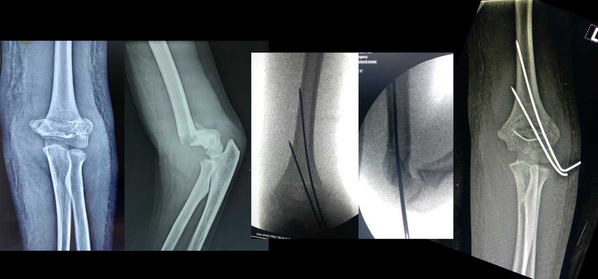
Karan Shetty
@karanshetty13
Orthopaedic surgeon. Guitar George. Easily distracted by cats.



More than 41,800 people have been killed in a year of Israel’s genocide against Palestinians in Gaza. The health ministry in Gaza has confirmed the identities of more than 34,000 of them. Here are their names.



What’s your unpopular medical opinion that would land you in this position? Drop it in this thread


Healthcare: Netherlands vs India 🇳🇱 1 week to get the appointment. Come back after 2 weeks of simple medicines level 2 medicine for 2 weeks. Still not sure about the next steps. 🇮🇳 Visit doctor. 10 mins - CT scan 20 mins - prescribes surgery 2 days later - surgery done A week - recovering. 2 months later: Hmmm, maybe, just mayyybeee I didn't need to do that surgery.














