Lynn D. Cornell, M.D. retweetledi

🔓 Open Access
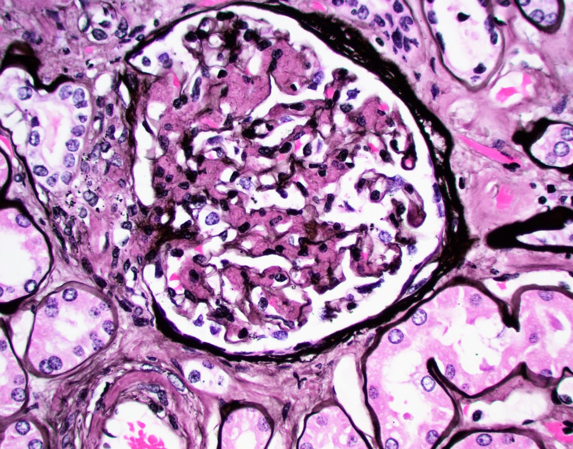
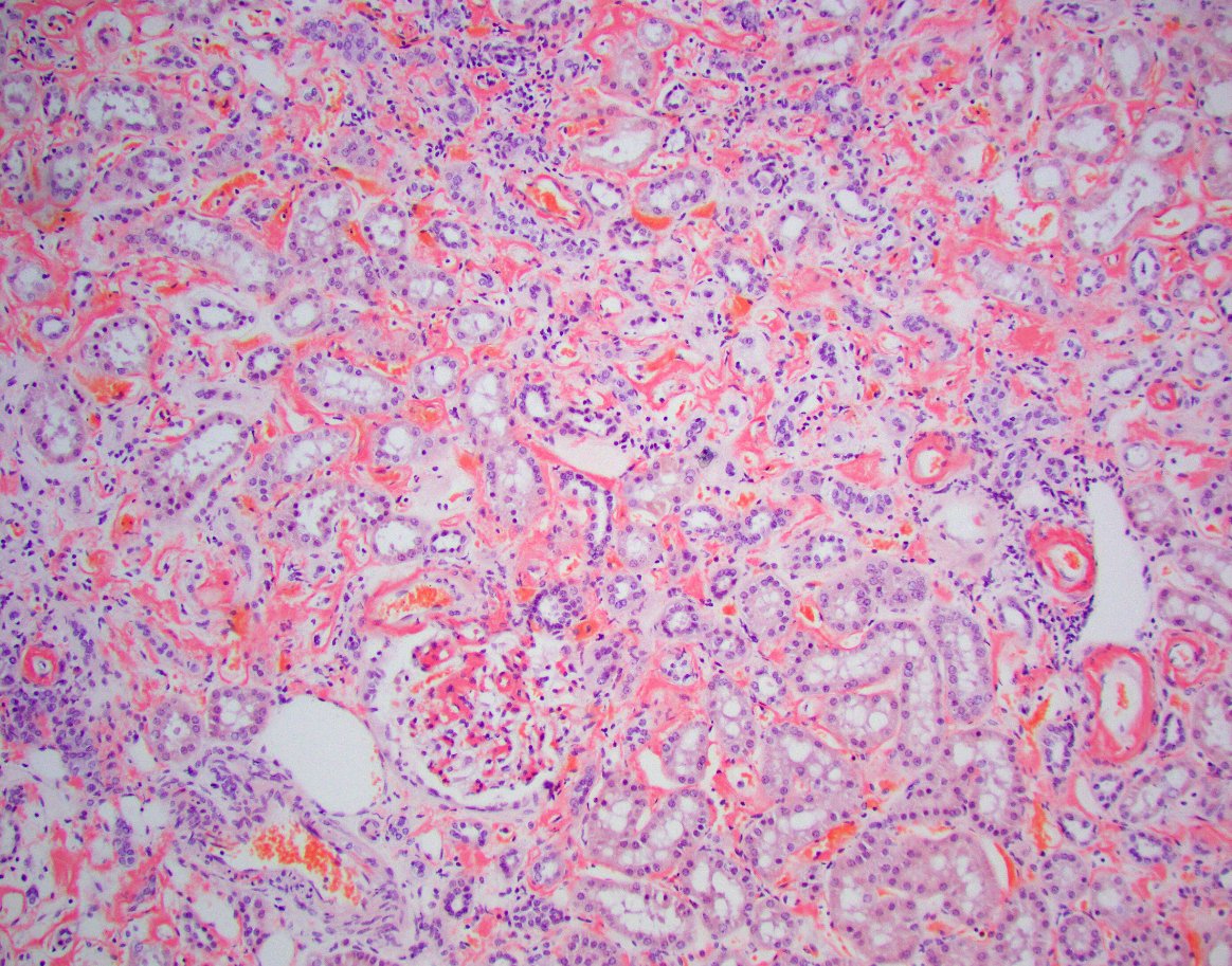
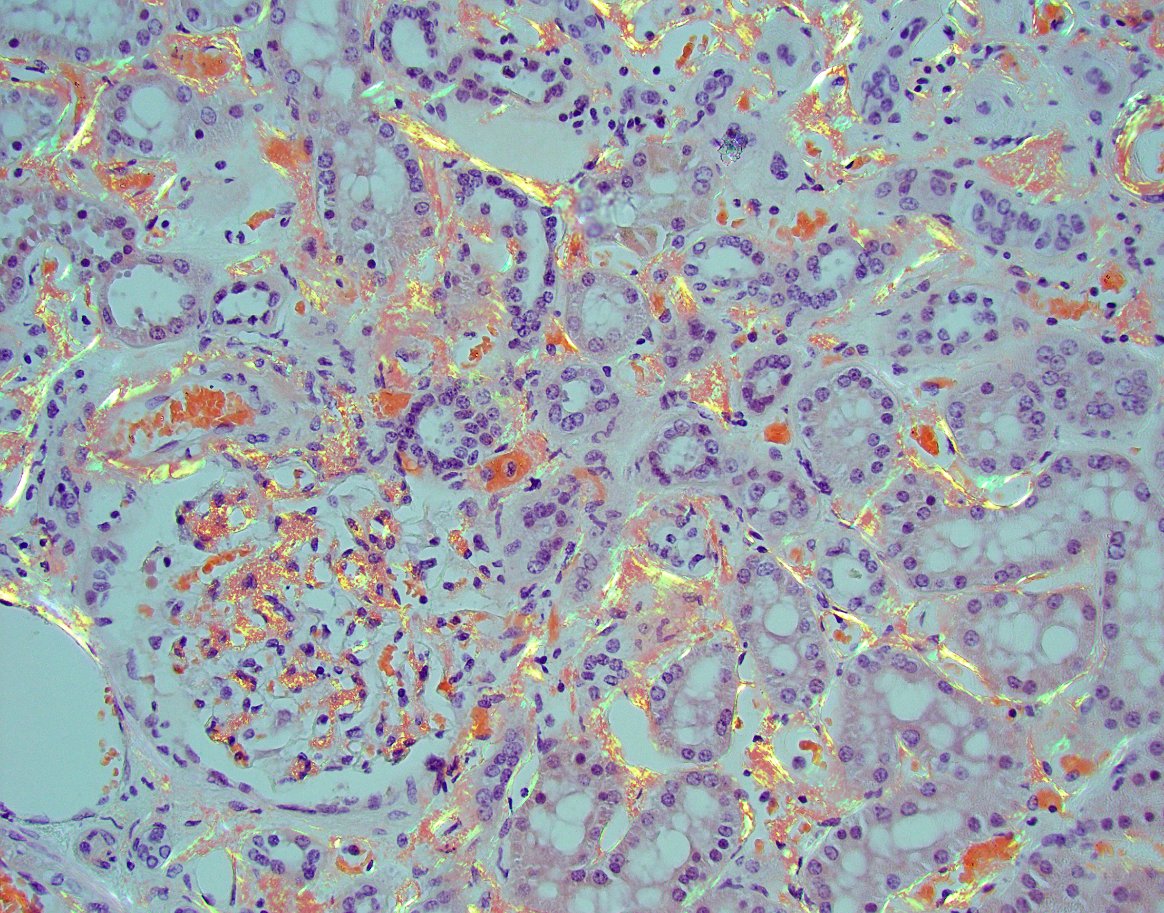
"The Banff 2024 Kidney Meeting Report: Rejection as a spectrum of phenotypes and focus on differential diagnostic reasoning," Naesens et al.
amjtransplant.org/article/S1600-…
#Transplantation #KidneyTransplant #Banff #TransplantPathology #DifferentialDiagnosis #OpenAccess

English









































