
Seen three cases of this. Good to know this entity exists so you don’t accidentally call it a wart or condyloma when it resembles one.
Jerad Gardner, MD@JMGardnerMD
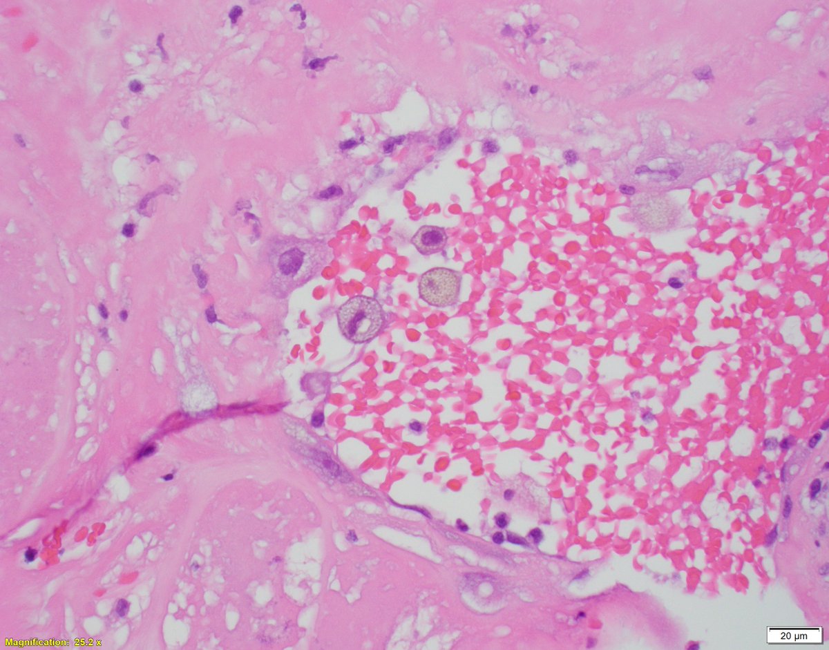
Focal finding in BCC excision. What is it? Answer✅ youtu.be/IuCJabkvlIw?si… More cases🔬kikoxp.com/posts/17984 & kikoxp.com/posts/17986 #pathology #pathologists #pathTwitter #dermpath #dermatology #dermtwitter
English























