Sabitlenmiş Tweet

救急外来、18歳男性。
発熱、咳、食欲不振。
指導医「ん~、コロナ?インフルエンザか?
B先生、ファーストタッチ頼んだぞ!」
研修医B「は、はいっ!」
—— 数分後 ——
研修医B「せ、先生っ!!大変です!
”電子タバコ”が原因かもです!!」
指導医「え?電子タバコ?いきなり何?」
B「コロナもインフルも陰性でぇ。
ちがったか~、なんだろな?って思ってぇ。
ん?くんくん?
未成年男子のくせにフルーティな匂いだわ~
見た目もやんちゃだわ~
さすがに喫煙してないだろって聞いたらぁ、
『タバコは吸ってないです。けど...』
.........けど?
『電子タバコはタバコじゃないっすよね?
1週間前から吸い始めましたけど?』
って言いだしてぇ。
おいおいおい、それ重要情報じゃね?
そういえば、アメリカで電子タバコの肺障害が話題になってたわ~
“ピン”とキタ~!」
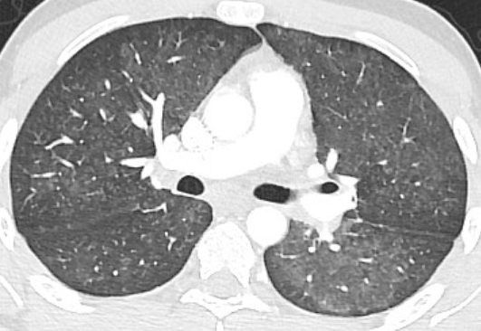
——そして胸部CT——
もろもろ検査→電子タバコの肺障害と診断!
指導医「神診断、キタ~!」
——————————

日本語















