Behnas Malek F.Z

1.2K posts

Behnas Malek F.Z banner
Behnas Malek F.Z

Behnas Malek F.Z

@malakbehnas

Pathologist 🔬

Katılım Mayıs 2021
508 Takip Edilen1K Takipçiler
Behnas Malek F.Z
Behnas Malek F.Z@malakbehnas·
@is_maha44 Merci ، Eid Mubarak à vous aussi . Que cette journée soit remplie de joie et de bénédictions pour vous et vos proches inchallah ❤️
Français
0
0
0
778
not blessed
not blessed@is_maha44·
le plus simple à répondre pour « aid mabrouk » c quoi ?
Français
30
0
83
44.6K
Behnas Malek F.Z retweetledi
Elizabeth Montgomery, MD
Elizabeth Montgomery, MD@LizMontgomeryMD·
Intestinal spirochetosis, caused by Brachyspira spp, cross reacts with the T. pallidum immunohistochemical stain. Pettit C, et al. Highlighting a Potential Pitfall: Positive Treponema pallidum Immunohistochemical Stain in a Patient Without Syphilis. PMID: 31389806.
Elizabeth Montgomery, MD tweet mediaElizabeth Montgomery, MD tweet media
English
1
15
67
1.8K
Behnas Malek F.Z retweetledi
Ankur Sangoi
Ankur Sangoi@slusagar·
#GUpath prostate biopsy for elevated PSA at first blush foamy gland pattern prostatic adenocarcinoma comes to mind... but other DDx include Cowper gland (Dx here) or mucinous metaplasia ⏬cont'd
Ankur Sangoi tweet mediaAnkur Sangoi tweet mediaAnkur Sangoi tweet mediaAnkur Sangoi tweet media
English
2
24
66
2.7K
Behnas Malek F.Z
Behnas Malek F.Z@malakbehnas·
#backtobasics Pilomatrixoma 🔬 ✔️Benign skin adnexal tumor ✔️basaloid proliferation resembling the hair matrix cells, which matures into structureless eosinophilic cells lacking nuclei called shadow/ghost cells ✔️Frequently there are areas of calcification #xpath #dermpath
Behnas Malek F.Z tweet mediaBehnas Malek F.Z tweet media
Toulon, France 🇫🇷 English
0
2
17
505
Behnas Malek F.Z retweetledi
Andres Matoso
Andres Matoso@Andres_Matoso·
Verrucous carcinoma of the penis 🔬 Broad-based, exophytic lesion with pushing borders. Note the bulbous rete ridges and keratin-filled sinuses, classic for this low-grade variant. Despite its bland cytology, local invasion can be extensive. Early recognition is key. #GUPath
Andres Matoso tweet media
English
0
9
32
730
Behnas Malek F.Z retweetledi
Abhijit Das, MD
Abhijit Das, MD@AbhijitSurgPath·
Liposarcoma: types & salient features (Basic facts for residents)
Abhijit Das, MD tweet media
English
1
66
144
6.8K
Behnas Malek F.Z
Behnas Malek F.Z@malakbehnas·
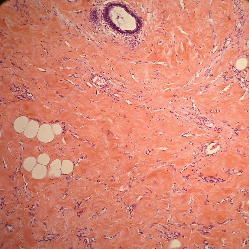
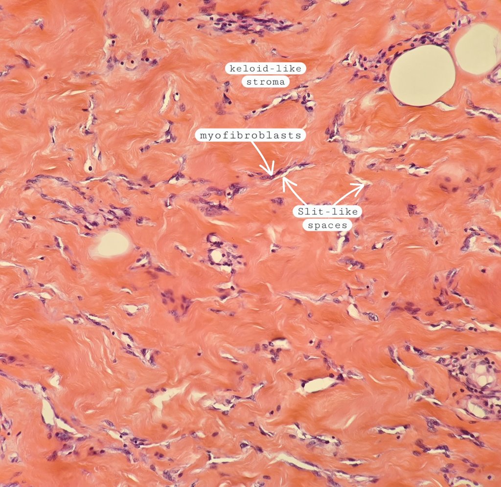
PseudoAngiomatous Stromal Hyperplasia ( PASH) ✔️Complex interanastomosing spaces in collagenous stroma resembling blood vessels ✔️Some of these spaces have spindle shaped myofibroblasts at their margins simulating endothelial cells ✔️- for vascular markers except CD34
Behnas Malek F.Z tweet mediaBehnas Malek F.Z tweet media
Toulon, France 🇫🇷 English
0
9
28
824
Behnas Malek F.Z retweetledi
Andres Matoso
Andres Matoso@Andres_Matoso·
Malakoplakia of bladder: Sheets of histiocytes (von Hansemann cells) packed with granular cytoplasm and the pathognomonic Michaelis–Gutmann bodies—round, targetoid inclusions reflecting defective phagolysosomal activity and chronic E. coli infection. #Pathology #UroPath #MedEd
Andres Matoso tweet media
English
2
29
91
2.6K
Behnas Malek F.Z retweetledi
Andres Matoso
Andres Matoso@Andres_Matoso·
Large Nested Urothelial Carcinoma on H&E 🔬 Deceptively bland cytology with expansile, well-circumscribed nests infiltrating the lamina propria—an architectural wolf in sheep’s clothing. Recognition is critical to avoid underdiagnosis of this aggressive variant. #Pathology
Andres Matoso tweet media
English
0
29
88
3.1K
Behnas Malek F.Z retweetledi
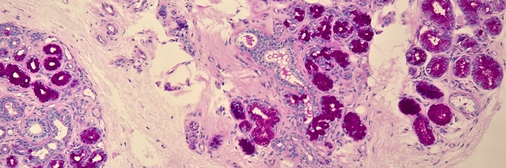
Eman Magdy
Eman Magdy@EmanMagdy91D·
Cystadenoma (Warthin Tumor) Sclerosing Polycystic Adenoma (SPA) Basal Cell Adenoma (BCA) Salivary gland pathology #pathology
Eman Magdy tweet media
CY
1
28
88
2.2K
Behnas Malek F.Z
Behnas Malek F.Z@malakbehnas·
Pleomorphic adenoma “canalicular adenoma–like” / “monomorphic” variant 🔬 ✔️Monotonous, monophasic appearanc ✔️Predominantly trabecular architecture ✔️May contain focal areas of classic PA IHC: CK7+ HMGA2+ S100+ SOX10+ p40- SMA- 🧬 Molecular : HMGA2::WIF1 fusion transcript
Behnas Malek F.Z tweet mediaBehnas Malek F.Z tweet media
Toulon, France 🇫🇷 English
0
10
48
1.3K
Behnas Malek F.Z
Behnas Malek F.Z@malakbehnas·
🔬Globular amyloid - gastric biopsy ✔️Amyloid doesn’t always appear as diffuse sheets ✔️“Globular” pattern = round, well-circumscribed eosinophilic deposits in lamina propia ✔️Congo red + → apple-green birefringence ✔️always confirm and type ( AL amyloidosis vs AA amyloidosis)
Behnas Malek F.Z tweet mediaBehnas Malek F.Z tweet media
Toulon, France 🇫🇷 English
0
19
73
1.9K
Behnas Malek F.Z retweetledi
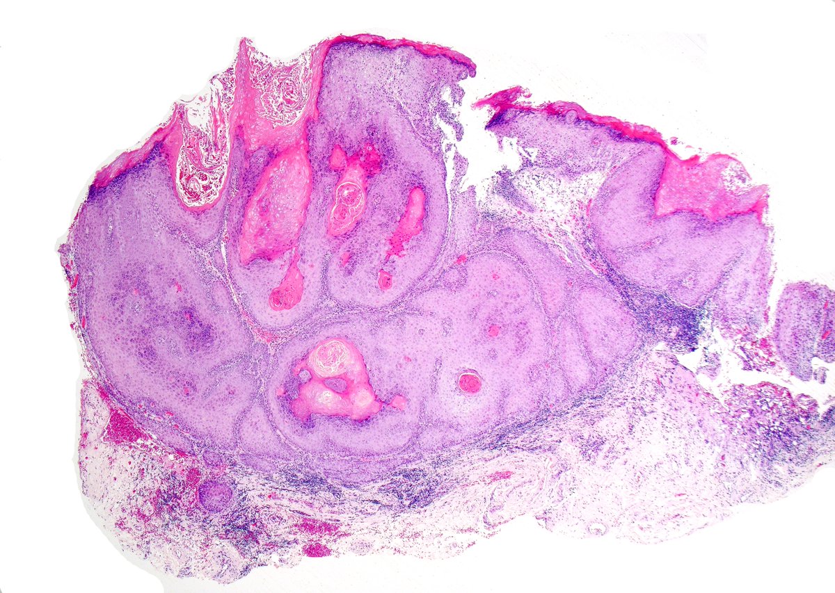
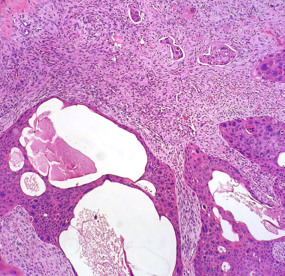
Daniel Skipper
Daniel Skipper@DCSkipperDO·
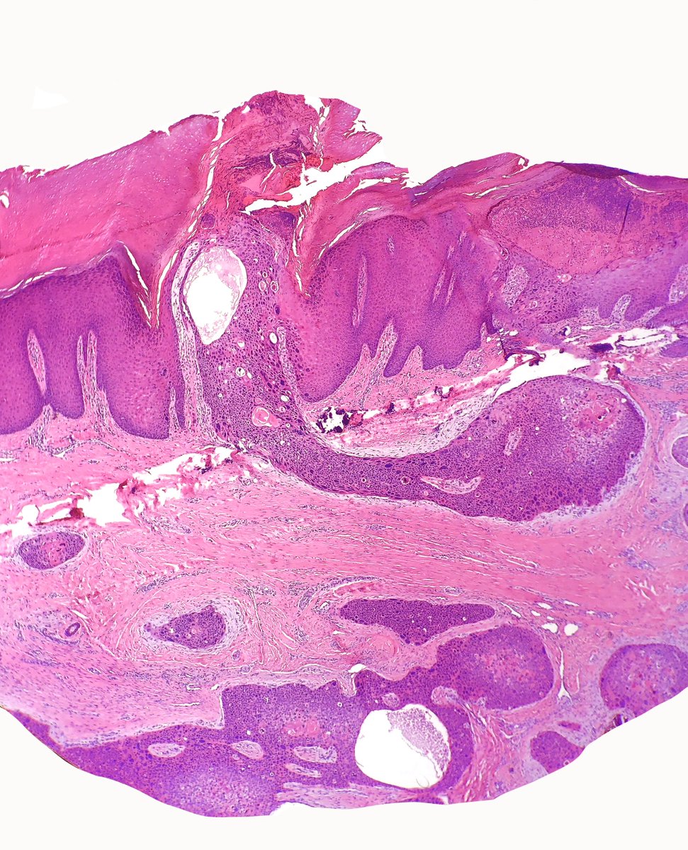
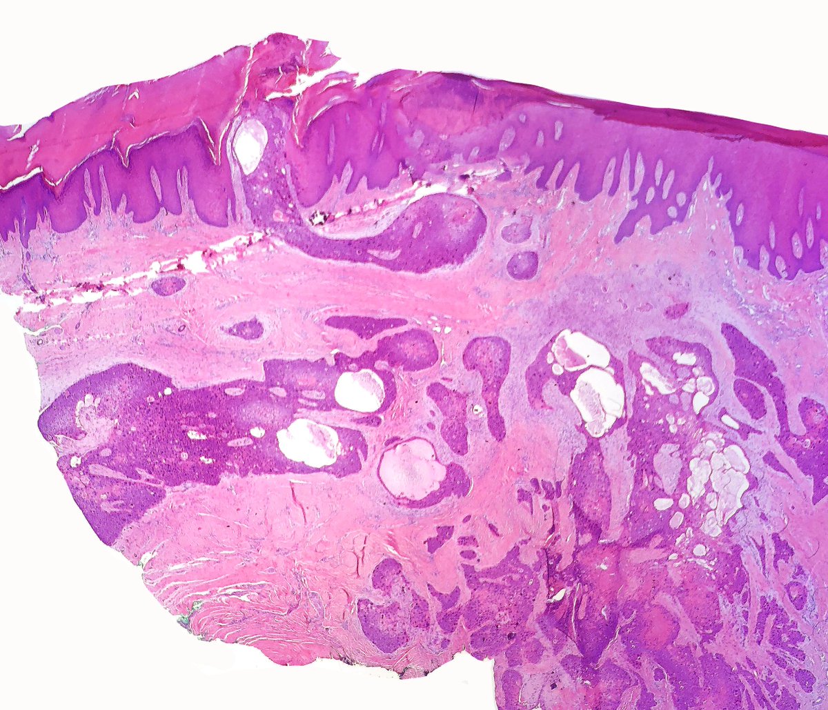
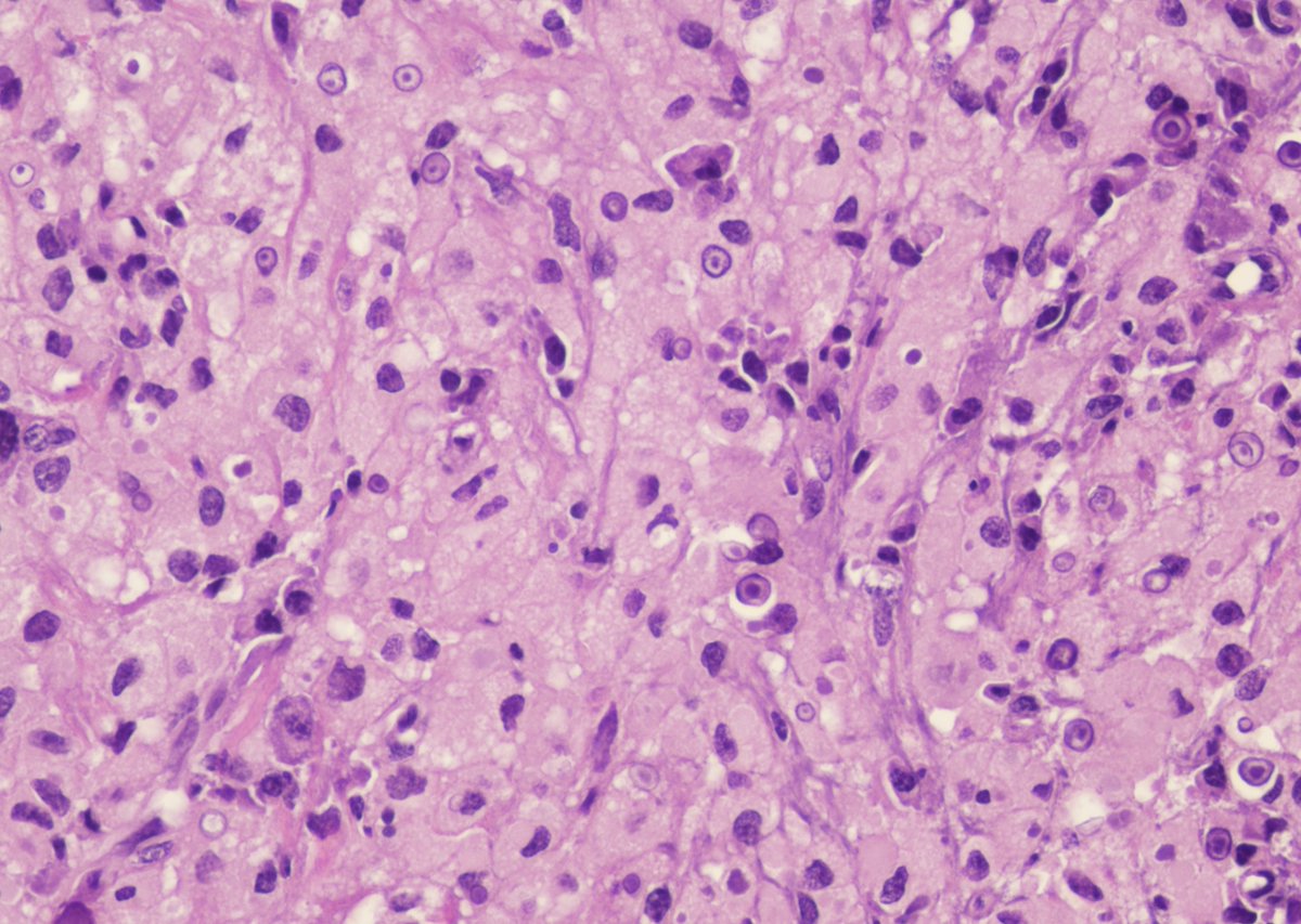
Elderly man, foot mass. Previous superficial shave biopsy called SCCIS. This is the excision. #dermpath
Daniel Skipper tweet mediaDaniel Skipper tweet mediaDaniel Skipper tweet mediaDaniel Skipper tweet media
English
12
66
139
0