
Javier Luis Moreno
1K posts

Javier Luis Moreno
@mboreman
Especialista en Radiología vascular intervencionista en el Hospital clínico de Barcelona. Check my 3D models at https://t.co/4QufLZ86uT














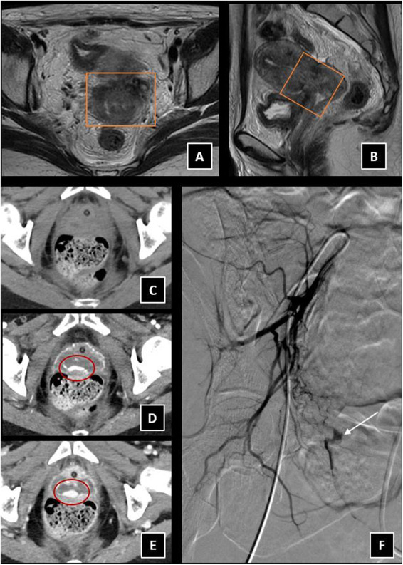
Os comparto nuestra última revisión sobre el papel de la radiología intervencionista en el sangrado uterino anormal. @D_Vas_ @MaarioMatute @fermgmez @SERVEISoc @SERAM_RX @residentesSERAM Enlace para descargarlo gratuito durante 50 días authors.elsevier.com/a/1fzFc,4oRACg…

Ceki Sagiz, especialista de producto de BALT, nos explica las posibles soluciones endovasculares a un aneurisma de bifurcación de arteria cerebral media derecha. #tratamientoendovascular #middlecerebralartery #aneurysm m.youtube.com/watch?time_con…



Conoces todas las aplicaciones de la CBCT en RVI?! Las puedes encontrar en nuestro último artículo Acceso gratuito en el link authors.elsevier.com/c/1i37g7iMD05o0 @SERVEISoc @SERVEI_ERF @SERAM_RX @residentesSERAM @RevistaRADIOLO2 @RVI_Bellvitge @hbellvitge

















