mohammed
93 posts

mohammed
@mg5ci
senior dental student at Ksau-hs | batch-19
Nowhere Katılım Ocak 2024
105 Takip Edilen128 Takipçiler

الحمدلله الذي تتم بنعمته الصالحات.
"بين تعب السنين وفرحة اليوم… حكاية اختصرتها كلمة خريج"🎓💙
اليوم أطوي صفحة من أجمل صفحات العمر، معلناً تخرجي من كلية طب الأسنان بجامعة الملك سعود بن عبدالعزيز للعلوم الصحية بمرتبة الشرف.
ممتن لكل لحظة في هذا الصرح العظيم، وللأهل والأصدقاء الذين كانوا خير سند في هذه الرحلة. اليوم نبدأ فصلًا جديدًا لخدمة الوطن.🇸🇦

العربية

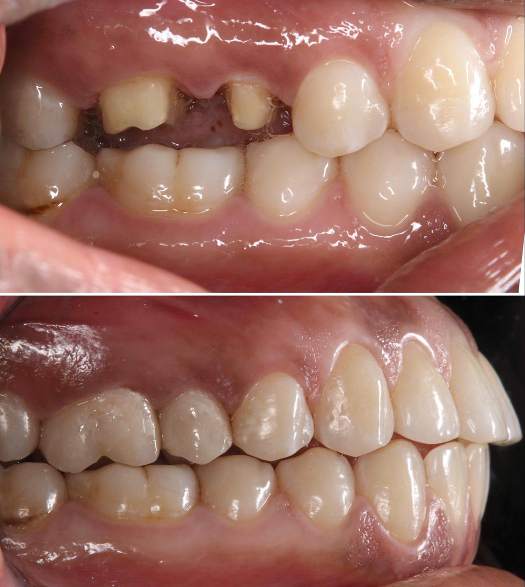
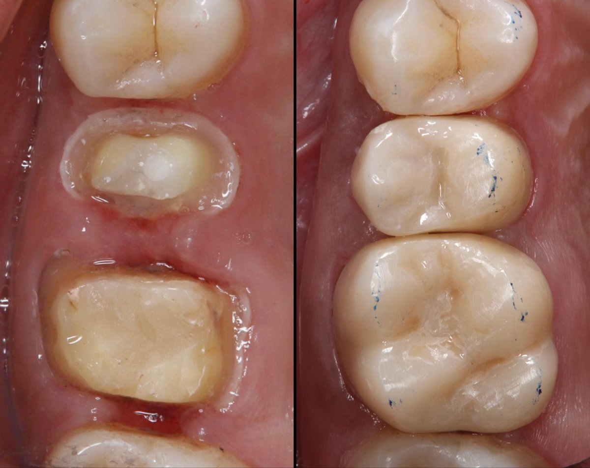
اسرع back to reality بس endo competency جميل الحمدالله

mohammed@mg5ci
الحمدلله الذي تتم بنعمته الصالحات. "بين تعب السنين وفرحة اليوم… حكاية اختصرتها كلمة خريج"🎓💙 اليوم أطوي صفحة من أجمل صفحات العمر، معلناً تخرجي من كلية طب الأسنان بجامعة الملك سعود بن عبدالعزيز للعلوم الصحية بمرتبة الشرف. ممتن لكل لحظة في هذا الصرح العظيم، وللأهل والأصدقاء الذين كانوا خير سند في هذه الرحلة. اليوم نبدأ فصلًا جديدًا لخدمة الوطن.🇸🇦

@mg5ci الف مبروك التخرج دكتور محمد و منها للاعلى يارب ❤️❤️
العربية

السلام عليكم ورحمه الله وبركاته
نحن طلاب من كليه طب الاسنان بجامعه الملك سعود بن عبدالعزيز للعلوم الصحيه وجامعه الملك سعود.
ندعوكم لدراسه بحثيه بهدف قياس تاثير العوامل الاجتماعية على التحكم بطبقة البلاك او الجير حول الاسنان.
الفئة المستهدفة: طلاب الجامعات في الرياض
يستغرق تعبئة هذا الاستبيان بضع دقائق ونؤكد لكم الحفاظ على خصوصيتكم وأن هويتكم ستظل مجهولة.
رابط الاستبيان:
qualtricsxmccrbjtlrz.qualtrics.com/jfe/form/SV_0D…
شاكرين تعاونكم لهذا البحث المهم
العربية


























