
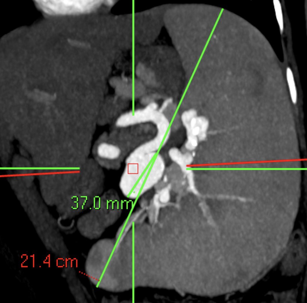
No limits in IR for developing &implementing new tech. Giant 37mm splenic aneurysm, 21+cm spleen +PH+ectatic artery: flow diver/coil embo @BSIR_News @TraineesBSIR @cirsesociety @imperialIR #vascularIR



English
Mo Hamady
2.1K posts

@mo_hamady
Science & Technology, Health, Professor of Practice in Image- Guided Surgery, Vascular Interventional Radiology-Imperial College London. Views are my own.


















@DrLKVaughan I agree with some of what you've written, but I have to add some caveats from the perspective of an IR on why I prefer an MDT approach in some situations. A little thread... 1/n

























