
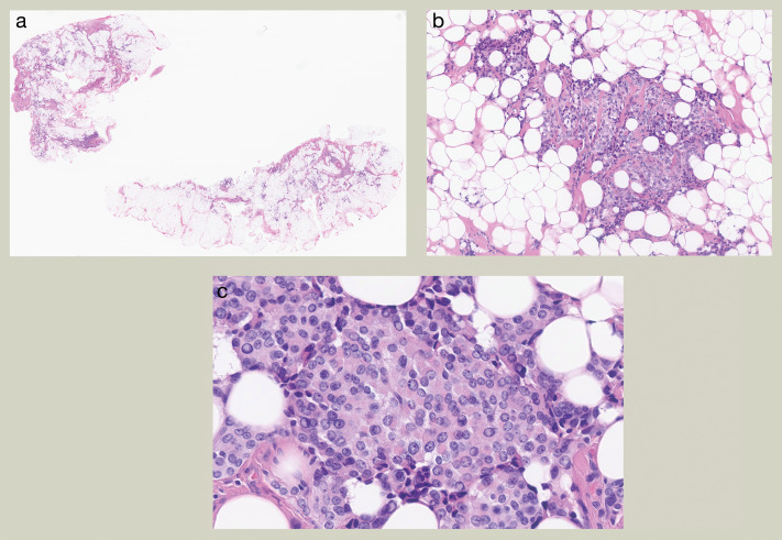
Latest Editor’s Choice article in #TheJournalOfPathology (April 26 issue):
…thsocjournals.onlinelibrary.wiley.com/doi/10.1002/pa…
#BreastCancer #Pathology #PathSoc #Editorschoice #PathTwitter

English
Pathological Society
1.9K posts

@pathsoc
The Pathological Society of Great Britain and Ireland | Promoting the understanding of disease through research and education in pathology for over a century



































