
Petra Svarc
43 posts

Petra Svarc
@petrasvarc
MD, PhD student, interventional radiologist in the making @Rigshospitalet and @uni_copenhagen #IRad #WithoutAScalpel👩⚕️👩🎓
Copenhagen, Denmark Katılım Mayıs 2015
124 Takip Edilen62 Takipçiler

@andreasroder1 @UrologicalRunit @HeinStroomberg Thanks for the kind words! You helped quite a bit along the way 😊
Copenhagen, Denmark 🇩🇰 English

You did it @petrasvarc. MD, moved from 🇭🇷-> 🇩🇰, did an RCT with PAE with @UrologicalRunit, defended your PhD with honors, found love and moved -> 🇳🇴. Crazy journey. We are so proud of you @HeinStroomberg and I.

English
Petra Svarc retweetledi

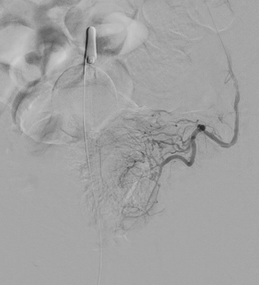
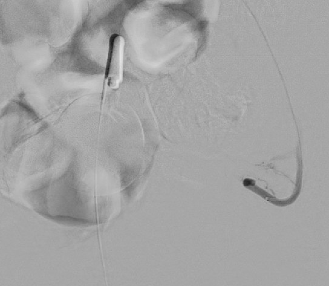
The great thing about #PAE is that it can also be used in patients at increased risk of bleeding, like #hemophilia. Smart! 🤓
➡️ Read more: ow.ly/IShv50OfVqj
#CIRSEsociety #ETF #CVIREndovascular #openaccess

English
Petra Svarc retweetledi

I’m honored to be able to contribute to #ETF topic of the month this week - stay tuned for all things #PAE related
@ETF_IRtrainees #CIRSEsociety 🤩
CIRSE European Trainee Forum@ETF_IRtrainees
#HelloMay ✨ This month we focus on Men's health. Did you know that half of men over 70 suffer from symptoms associated with an enlarged prostate? 🤔 #PAE lets patients avoid surgery. Check out this @cirsesociety leaflet to find out more: bit.ly/3Huf70a
Copenhagen, Denmark 🇩🇰 English
Petra Svarc retweetledi

Great start of the day! 1st of 220 patients randomized in our RCT of TUMT vs. PAE to investigate the effect of these treatment in severe BPH w/BOO, refractory to medical tx. Together with @UrologicalRunit @Rigshospitalet @HerlevGentofte @MikkelFode @HeinStroomberg @petrasvarc 🙏
English

@petrasvarc @ESR_Journals It was really nice to meet you!
English

That was a fantastic get-together, thank you!
ESR Journals@ESRJournals
We’re so happy to meet in person this year! 😍 Editor-in-Chief of #EurRadiol, Prof. Yves Menu, along with the journal's Deputy Editors, gathered today to meet with the 2022 European Radiology Review Fellows and the 2020 Albert L. Baert Fellow. A lovely group, if we may say so!
English
Petra Svarc retweetledi

❗ SAVE THE DATE: 3 WEEKS UNTIL THE GLOBAL IR JUNIORS SUMMIT ❗
💡 The Summit will bring together experts and young professionals in IR from around the world to share their experiences and discuss contemporary IR-related topics.
@TraineesBSIR @pairsmedia @SIRRFS @cirsesociety

English
Petra Svarc retweetledi

❗GLOBAL IR JUNIORS SUMMIT 2022❗
We at @cirsesociety, together w/ @SIRspecialists, @BSIR_News and @pairsmedia, invite you to the Global IR Juniors Summit.
📅 Saturday, July 23, 2022
🕐 15:00–19:00 CEST
➡️Register: ow.ly/727o50JGF9M
➡️ Information: ow.ly/HEk950JGF9K

English

Danish Society of Interventional Radiology’s annual meeting #DFIR2022🇩🇰 is off to a great start today with an inspiring lecture from Prof. Stefan Müller-Hülsbeck on the pros of taking the #EBIR exam @cirsesociety

Nyborg, Danmark 🇩🇰 English

Loads of interesting content for us prostate nerds at #GEST2022 today. #PAE research is sure not running out of topics! @thegestgroup #interventionalradiology

English

@BarnacleAlex @cirsesociety Thank you so much Alex! We had loads of fun this week making all the posts 😊
English

@cirsesociety Outstanding effort this week! It’s been fascinating seeing what you’ve been up to #withoutascalpel. Thanks for insights into your department’s great work! What a team ⭐️
English

#CIRSEtakeover Copenhagen is checking out! Thank you all for following our stories this week and thank you @cirsesociety for this opportunity to introduce our department. We look forward to seeing you all at #CIRSE2022
English








