Sabitlenmiş Tweet

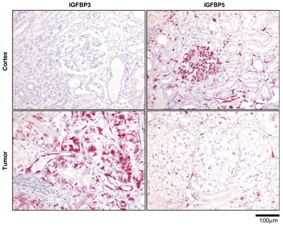
Just in time for #WorldKidneyDay, I'm happy to share our latest work on human kidney endothelial cells published today in BJC Reports. We use single-cell RNA-seq, tissue & cell-based validation studies to study the unique phenotypes of these cells. (1/14) nature.com/articles/s4427…
English







