rarararara
368 posts

rarararara
@put66111004
adjkajsndjsn
Kota Semarang, Jawa Tengah Katılım Haziran 2021
17 Takip Edilen4 Takipçiler

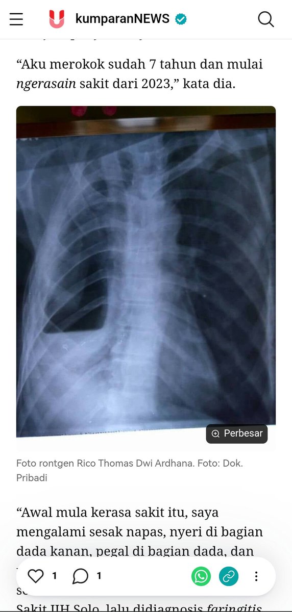
Parunya udah nyerah sebelah sampe hidropneumotoraks begitu, gak cuma sekadar faringitis, bronkitis, GERD. Ini dadanya musti dibolongin dipasang selang. Kena penyakit yg bisa dihindari di usia muda itu musti disyukuri ketauan & bisa diobati, bukan jadi tambah tambeng.

kumparan@kumparan
Remaja Klaten Ngerokok Campur Ngevape: Kena Faringitis-Bronkitis Akut, 4 Kali Masuk RS #newsupdate #update #news #text kumparan.com/kumparannews/r…
Indonesia

@melanieppuchino @meutiafaradilla Apakah bentuk kenikmatan menurutmu hanya seks? Kenikmatan tertinggi ahli surga itu bertemu dengan Rasulullah dan Allah. Bidadara tidak ada, kita perempuan jika masuk juga akan dapat bidadari untuk melayani kita, gambarannya kayak pelayan dan ratu.
Indonesia

@meutiafaradilla Trus setelah semua tuduhan penyebab dosa itu gak dijelasin perempuan dpt apa kalo masuk surga. All about men yg dpt 72 bidadarilah, dst dst. Apa gak ada perempuan yg beriman dpt 72 bidadara?
Indonesia

@tanyarlfes Udah jelas-jelas ngebunuh beberapa nyawa, pelecehan dan cuma 10 tahun? Wah berat sih balasannya ntar diakhirat. Hukum indo kenapa sih tumpul banget kalo masalah kek gini
Indonesia

@luculucuaaan Gak ada sih nder, karena pacaran udah hal negatif
Indonesia

@gapapakoh Gak mau ngatur karena akan dikata merasa benar sendiri
Indonesia

@author_gaby @tanyakanrl Pernahnya nulis jurnal dan artikel kak😓
Indonesia

@tanyakanrl Manusia adalah makhluk yang lemah, jadi sandarkan dirimu sepenuhnya ke Allah
Indonesia

@convomfs Nder...caramu menyebut pacarmu ngingetin aku sma mantan:( karena sama
Indonesia

@tanyarlfes Aku juga sebel kalo dikomen aneh-aneh soal makanan pdhl buatnya udah sepenuh hati, untung ada ibu yang belain.
Indonesia

@convomf Iya dan juga jangan lupa isyarah telunjuk itu naik waktu bacaan illa Allah bukan saat ashadu
Indonesia

@richoreexr @tanyarlfes Masih untung itu, daerahku dananya belum turun sampe harus hutang buat konsumsinya
Indonesia

@tanyarlfes Pacaran aja udah gak wajar apalagi sampai skinship kek gitu, bilang saja sama ortu karena masih tanggung jawab mereka buat ngedidik anaknya
Indonesia

















