American College of Radiology
44.1K posts

American College of Radiology
@RadiologyACR
The ACR is the voice of #radiologists, #MedPhys, #RadOnc & #NucMed physicians, empowering them to serve patients & society. #FocusedForwardTogether
Reston, VA Katılım Mart 2009
3.2K Takip Edilen65.8K Takipçiler

How does #ACRDSI support organizations deploying AI?
☑️ Evaluate AI tools systematically
☑️ Monitor real-world performance
☑️ Establish clear oversight structures
☑️ Align innovation w/ clinical standards
Discover more during the #DSISummit at #SIIM26! bit.ly/3P58rwo

English

Last night, during a fireside chat w/ @drozcms in DC, lung cancer survivor Shira Boehler & Kim Sandler, MD, unveiled the new Cancer Doesn’t Care Fund to fuel efforts in screening access, early detection & research.
Learn how you can support: bit.ly/4t96Mop


English
American College of Radiology retweetledi

New study in @Health_Affairs Scholar: MIPS is designed to reward high‑quality care and encourage improvement over time. New findings from the Neiman Institute suggest that measure capping and removal policies may unintentionally work against those goals. @LaurenGoldingMD @ElizabethYRula #Medicare #MIPS #ValueBasedCare #CMS
neimanhpi.org/press-releases…
English

Check out ACR at #RBMA2026. 📸
New workforce data + action‑oriented solutions from @NeimanHPI's Elizabeth Rula, PhD, insights on non‑physician practitioners from @RichDuszak and conversations on quality & AI led by #ACRDSI's @PaigeNiereng. @RBMAConnect @DSmethermanMD @MythreyiC



English

A 77-year-old male presents to the emergency department with stroke-like symptoms. #ACRCaseinPoint bit.ly/4lY5cTS

English

Just ✨ 18 more days ✨ until the #ACRRFS Meeting during #ACR2026!
Don't forget to join the RFS virtual caucus on April 21 at 7pm ET to discuss resolutions for consideration by the ACR Council. Register & join: bit.ly/47Qorsn

English

The ACR story is your story. If you're attending #ACR2026, we want to hear what being part of ACR means to you. If you have a few minutes to spare, sign up to share your experience with us: bit.ly/4cdmkBC

English

“Cancer doesn’t care whether or how much you smoke.” - Shira Boehler
Proud to announce the Cancer Doesn’t Care Fund, launched by the ACRF & Cancer Doesn't Care, to fuel early cancer detection and greater health equity.
🔗 bit.ly/4vumvAb


English

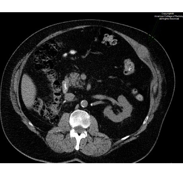
📖 #RadExam Study Guide 📖
A CT with intravenous contrast was obtained in a 12-year-old girl with abdominal pain. What is the most likely diagnosis?
A) Small bowel obstruction
B) Ovarian cystadenoma
C) Lymphatic malformation
D) Ileal duplication cyst


English

Whether you're in the reading room, working remotely or traveling the globe, you can represent ACR in style. Check out merch on our online store, including dress shirts, tumblers and more. 👉 👉 bit.ly/46ZaXc0

English
American College of Radiology retweetledi

What does @RadiologyACR BI-RADS 2025 mean for radiologists? We sat down with co-author Dr. Stamatia Destounis to discuss new clinical images, updates across imaging modalities, and the shift to a digital resource.
▶️ Watch now! buff.ly/tQD8i2F
#BreastImaging #Radiology
English

A 67-year-old male with recurrent urothelial cell carcinoma of the bladder presents with diffuse left sided abdominal pain. #ACRCaseinPoint bit.ly/41u9gBC

English

#ACRRFS #ACRYPS: You're invited to hear from experts on the forces shaping radiology reimbursement. Join our live webinar:
🗓️ April 15 | 7pm ET
🎙️ @OrmsbyMD & @NeimanHPI's Eric Christensen, PhD
📈 RVUs, RUC, CMS & patient access
👉 Register: bit.ly/4toyPjz

English
American College of Radiology retweetledi

To help bring breast imagers across Wisconsin together to collaborate and share best-practices, the @WRS_WI teamed up with @BreastImaging to create educational programs aimed at meeting the needs of breast imaging radiologists. @AnandKNarayan and @TajKatt dive into these programs with the #ACRBulletin. 🔗 bit.ly/41ipr54 @RadiologyACR @amykpatel @DSmethermanMD @DrIanWeissman @Ortho2Rads

English

(1/2 🧵) Congratulations to our #AIRP Best Case Winners! 🏆 Out of more than 500 highly competitive submissions, the following cases stood out for their exceptional educational value, clarity and radiologic–pathologic correlation:

English

A 29-year-old male presents with ankle pain for the last few months. There is no acute injury. #ACRCaseinPoint bit.ly/4tdXQxS

English