Sabitlenmiş Tweet
رَنْد السيف
4.3K posts

رَنْد السيف
@randf190
علاج أمراض اللثة و زراعة الأسنان 🪡 البورد السعودي في أمراض و جراحة اللثة 🇸🇦 للمواعيد 0552959998
الرياض Katılım Haziran 2015
648 Takip Edilen992 Takipçiler

@ksudental @HaniMoharib ألف مبروك د. هاني، وعقبال الأستاذية بإذن الله 🙏
العربية
رَنْد السيف retweetledi
رَنْد السيف retweetledi

Great job 👏🏼👏🏼
Abdulmalik@Dent_MLK
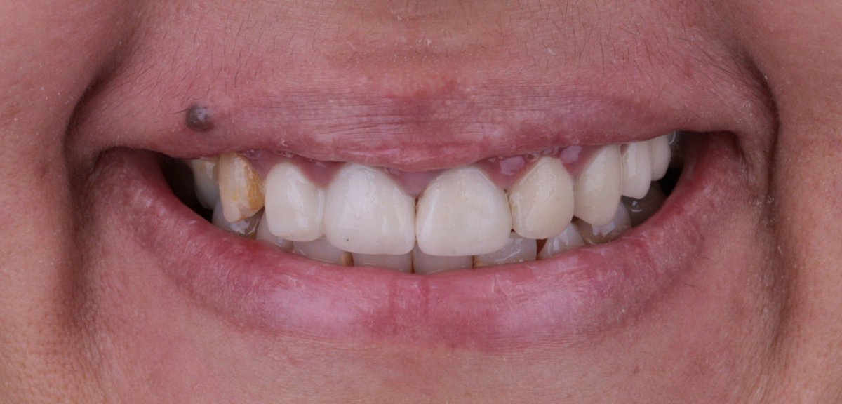
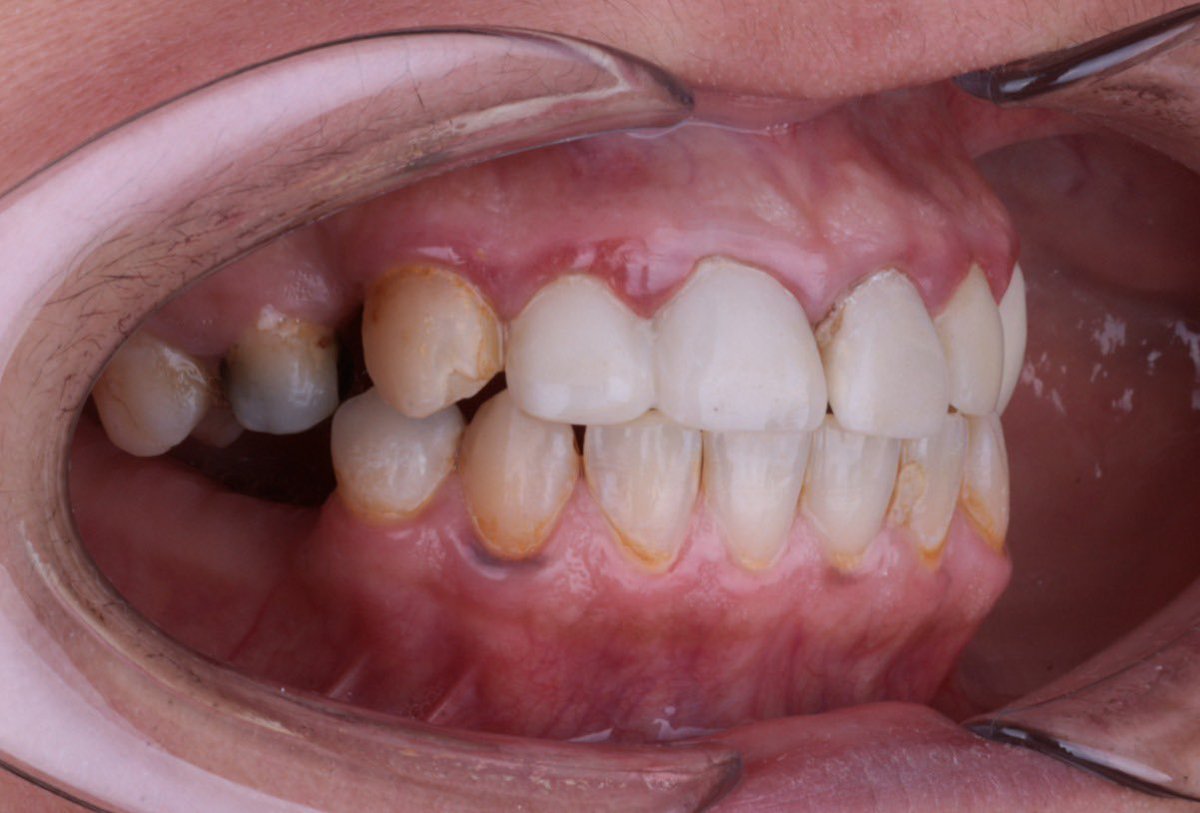
CC: “My teeth hurt” Turned into a full-mouth comprehensive case: ✔️ SRP ✔️ Endodontic retreatments ✔️ Restorations ✔️ Extractions followed by implants (done by @randf190 with great precision) ✔️ Ceramic crowns ✔️ Implant crowns One chief complaint — full treatment journey. ✨
English
رَنْد السيف retweetledi
رَنْد السيف retweetledi
رَنْد السيف retweetledi
رَنْد السيف retweetledi



























