Renal Pathology Society retweetledi

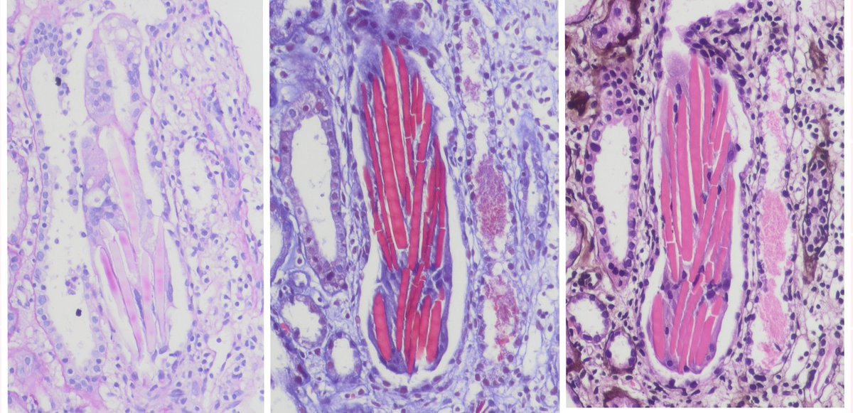
Collagenofibrotic Glomerulopathy Associated With Homozygous STAB2 and Heterozygous STAB1 Variants: A Case Report
@yohei_doi
bit.ly/4k5WTnG

Română
Renal Pathology Society
6.3K posts

@Renalpathsoc
Twitter account of the Renal Pathology Society (RPS) #renalpath
























La célula principal del conducto colector es el epicentro del control fino de electrolitos y volumen extracelular. A diferencia del túbulo proximal, este es “eléctricamente apretado”, permitiendo mantener gradientes osmóticos y iónicos muy elevados. 🔬 Abro 🧵 #nephrology



