
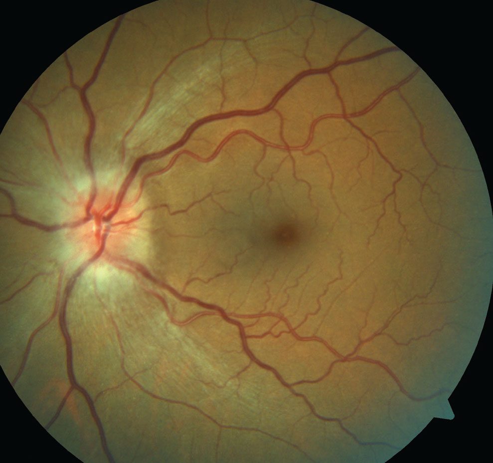
"That's Heavy, Doc" — An elderly patient presents with visual complaints and oculomotor findings. What might be the cause?
Read in the latest Diagnostic Quiz: reviewofoptometry.com/article/thats-…
#optometry #optometrist #eyecare

English
Review of Optometry
11.2K posts

@revoptom
Optometry’s trusted advocate for the advancement of clinical expertise since 1891.







































