Rijul Kshirsagar, MD retweetledi

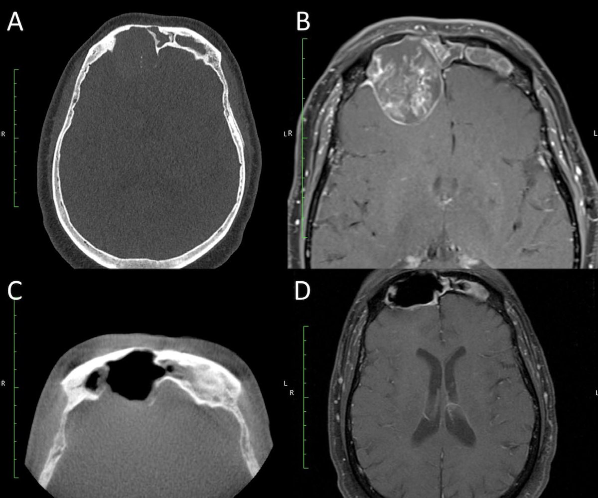
What are the surgical challenges and outcomes of treating frontal sinus inverted papilloma, a tumor often linked to skull base involvement and recurrence?
Click to read more: bit.ly/3Wbwkmf
#MayoClinicENTResearch #MedTwitter #TristanTham #AlexisKim @jadyn_wilensky_ #CynthiaTsang #PeterGiannaris #BeverlyWang #Kush_Panara #ZacharyChristian #EdwardKuan #PeterPapagiannopoulos @BobbyTajudeenMD #JacobEide @JohnCraigNose @rijulkmd @TranLockeMD #SeungjunAhn #EunJeongOh #JuddFastenberg #MarkChaskes #AronPollack #GadyHarEl @AlanWorkmanMD #MichaelKohanski @JDouglasMD @NAdappaMD #JamesPalmer #CharlesTong

English
