Rachel Laulusa Debenham retweetledi

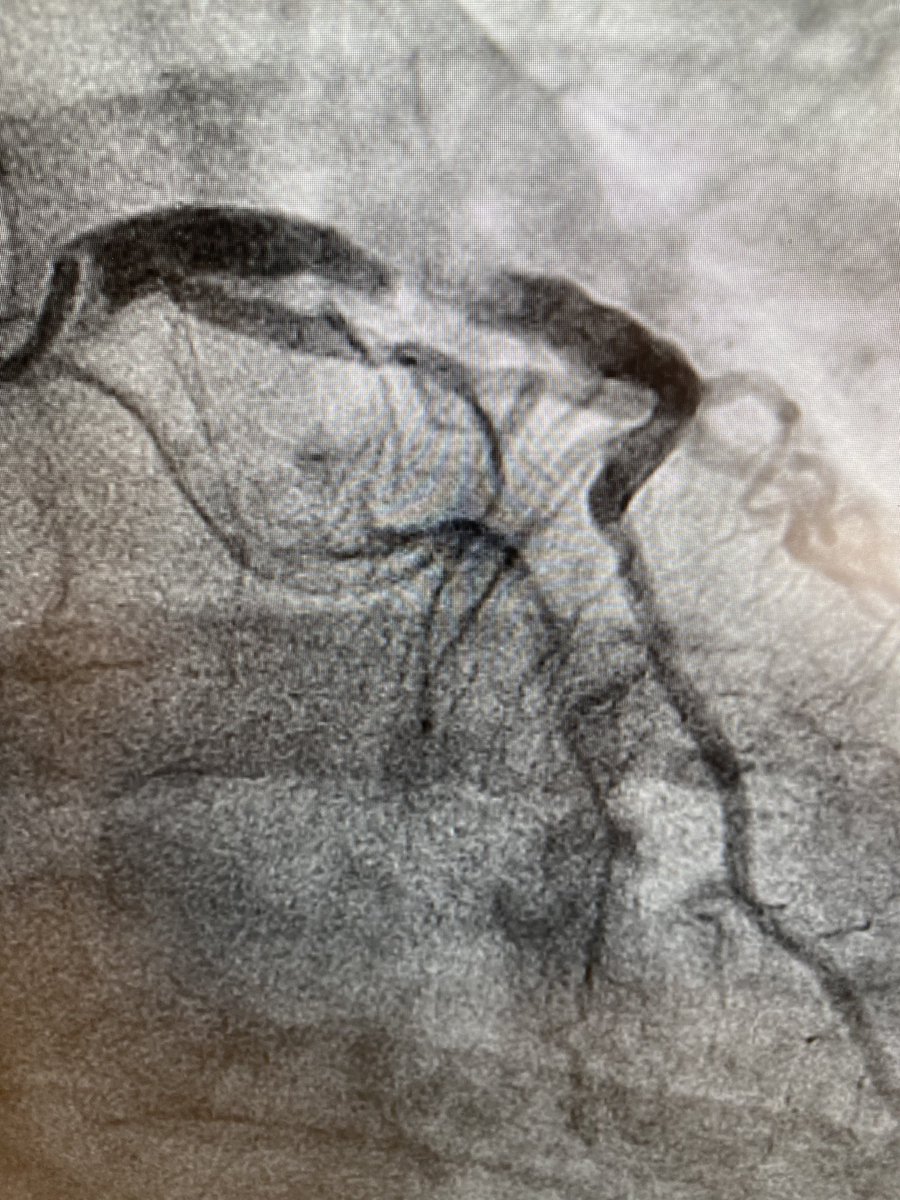
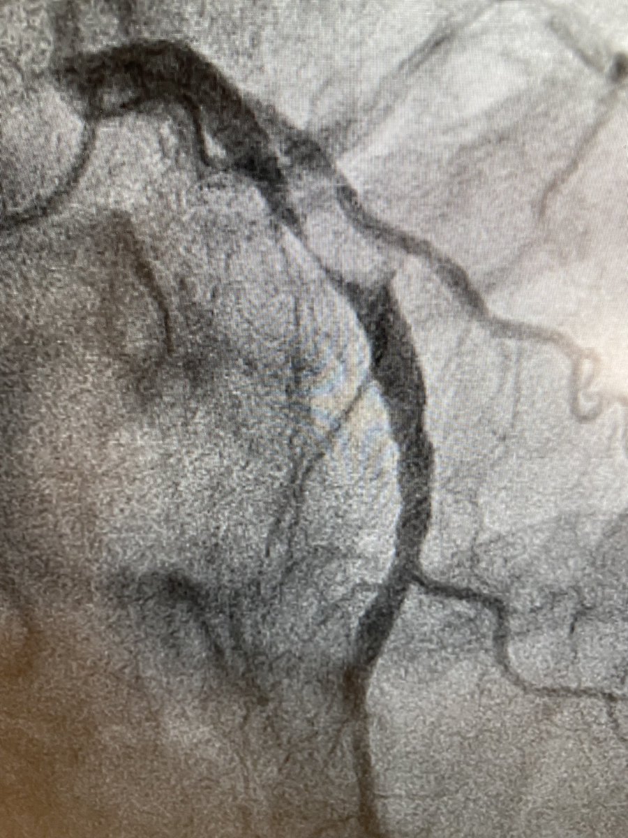
50yo nonDM👨🏻🦳 2+mo exertional angina, Trop/echo WNL. How would you manage? #CardioTwitter 🎥 on RP @mmamas1973 @SandeepNathanMD @mirvatalasnag @djc795 @SVRaoMD @rajivxgulati @Drroxmehran @DLBHATTMD @djkereiakes @BinitaShahMD @CardioNerds @DrJayMohan @richardbogle @fischman_david



English













