
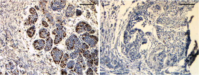
💡A new class of #senotoxins with strong translational potential, opening therapeutic avenues for improving #cancer treatment outcomes by targeting populations of harmful senescent cell populations. This is what Dr Maria Ikonomopoulou💬 shared with us at the #ScientificSeminar.



















