Greg Osgood
16 posts


@DrPaulaWhiteman If we didn’t use Geiger counters, it would have been safe to return to Chernobyl the day after the meltdown
Baltimore, MD 🇺🇸 English

Excited and honored to be part of the 2019 FOT Pelvic and Acetabular dissection course. Exceptionally motivated students! We all enjoy teaching our Haitian partners at this event! #FOT #residenteducationatitsbest #hopkinspelvictrauma #jhh #orthotrauma




English

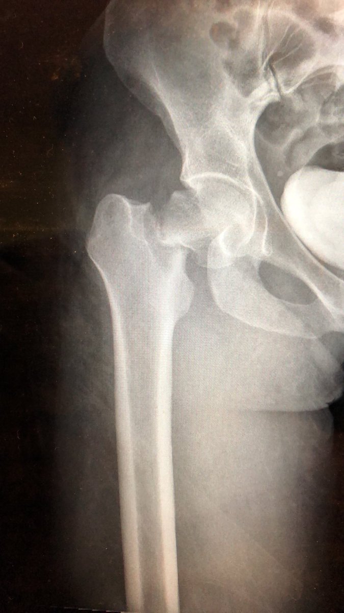
@ferrando_albert @cursocot Toe touch WB x 6 weeks, then progress. But this noncompliant patient may start much earlier, especially with this stable reduction and fixation.
Towson, MD 🇺🇸 English

Just a little midnight fun when not on call #orthotrauma #HopkinsOrtho #femoralneckfracture #openreduction #SmithPetersen #lifeinthetimeofcovid19 #fns




English

@starsmore_j It is DePuy Synthes “FNS-Femoral Neck System”
Towson, MD 🇺🇸 English

Great lazy weekend with family and friends! Happy Mother’s Day weekend!
#MothersDayWeekend #BaltLife #RadaOsgood




English
Greg Osgood retweetledi


#asktfios What was it like having all of this happen for your book?
English







