Stuart Sherman retweetledi
Stuart Sherman
648 posts

Stuart Sherman
@studabaka
Gastroenterologist with expertise in therapeutic endoscopy
Zionsville, Indiana Katılım Temmuz 2011
191 Takip Edilen208 Takipçiler
Stuart Sherman retweetledi
Stuart Sherman retweetledi
Stuart Sherman retweetledi
Stuart Sherman retweetledi

Dr. Evan Fogel is the inaugural recipient of the newly named @studabaka Professorship in Gastroenterology! Not only does this celebrate Dr. Sherman's legacy, but showcases Dr. Fogel's hard work and career with #iugastro. Congratulations, Dr. Fogel!! #GITwitter

English
Stuart Sherman retweetledi

Anyone familiar with Chicago handshakes!? @danideahl
Full interview is out now 🎙🤩
ampl.ink/ObeYV
English
Stuart Sherman retweetledi

@IUGastro Advance Endoscopy (AE) and @RileyChildrens frequently collaborate, giving our AE fellow a unique opportunity to be part of pediatric ERCP cases. One of many ways @IUGastro and @RileyKids help train our next-generation therapeutic endoscopists. @MunishAshatMD @studabaka
English
Stuart Sherman retweetledi

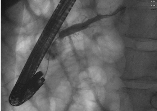
#TakeoverTuesday With world-renowned faculty
@IUGastro @ Advance Endoscopy (AE) Training is one of the best in the country.
Dr. Stuart Sherman @studabaka and @MunishAshatMD
(AE Fellow) successfully treating a pancreatic duct disconnection with PD stenting.



English
Stuart Sherman retweetledi

Starting tomorrow- our first #takeovertuesday! For a single day, a featured faculty member, fellow, etc., will run one of our social media accounts. @MunishAshatMD will be here tomorrow showing what he does as an #advancedendoscopy Fellow! #gitwitter

English

NEW MUSIC OUT NOW!
The Shermanator(Original Mix)
Stream and Download here ⬇️
Linktr.ee/sherminthebooth
English
Stuart Sherman retweetledi

Congratulations to Stuart Sherman, MD, FASGE, recipient of the Master Endoscopist Award. asge.org/home/join-us/c…
#ASGE #Crystalawards #giendoscopy

English
Stuart Sherman retweetledi

Congratulations to @studabaka for such an amazing 👏 accomplishment. #Crystalawards #ASGE @ASGEendoscopy
ASGE GI Endoscopy@ASGEendoscopy
Congratulations to Stuart Sherman, MD, FASGE, recipient of the Master Endoscopist Award. asge.org/home/join-us/c… #ASGE #Crystalawards #giendoscopy
Sanford, FL 🇺🇸 English
Stuart Sherman retweetledi

Matt and Lola discussing Sherm in the Booth plans for 2020. Matt told Lola to watch Sherm in the Booth on You tube and find out. @sherminthebooth @ Zionsville, Indiana instagram.com/p/B6WpfQAn19_/…
Zionsville, IN 🇺🇸 English

This is what a middle school lacrosse coach should like like. I am pretty sure I am yelling it’s gotta be us and it was. @studabaka takes on assistant coaching 7-8th grade Z’ville boys. @ZLAXLacrosse instagram.com/p/Bx8hWENnYRS/…
English

Pacers in a blowout. Lebrons gonna trade u-Kuzma, Ingram, Hart, Ball, a couple of first round picks and Magic. With Lovely Les on Valentines Day #pacers @ Bankers Life Fieldhouse instagram.com/p/BthclxgHIt1/…
Indianapolis, IN 🇺🇸 English

3 GI docs have the Sherm In The Booth vibe. Spreading #SITB music to the people instagram.com/p/Bs9W4SUHT7W/…
English

Happy New Year 2019. LA Fitness was packed today with New Years Day resolution wannabe shredding it in the gym. They’ll be gone by February. Studabaka is now in year 7 getting yoked.… instagram.com/p/BsHXkreHwvb/…
English

Happy Holidays from the Retriever family who Don’t Stop Believin’ @ Zionsville, Indiana instagram.com/p/Br0hA_7nsRx/…
Zionsville, IN 🇺🇸 English

Lovely Les and Studabaka do Musée d’Orsay Paris style @ Paris, France instagram.com/p/Bquk-eqHz_F/…
Paris, France 🇫🇷 Français
