Sabitlenmiş Tweet

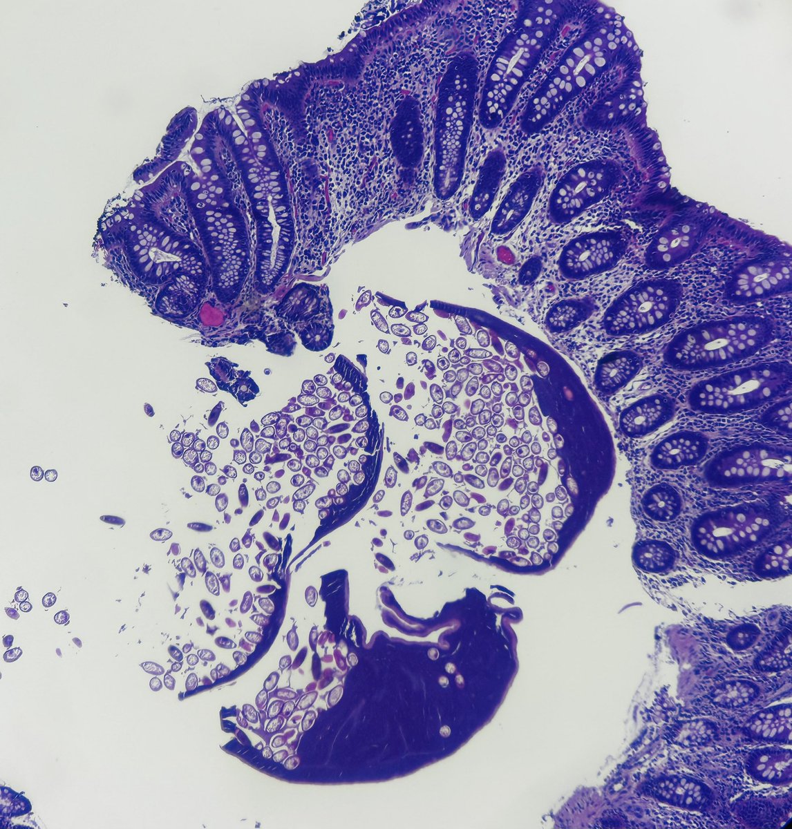
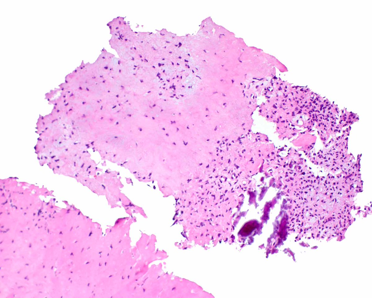
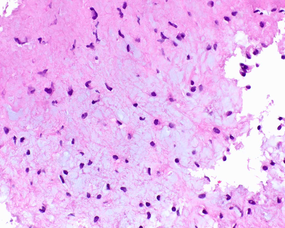
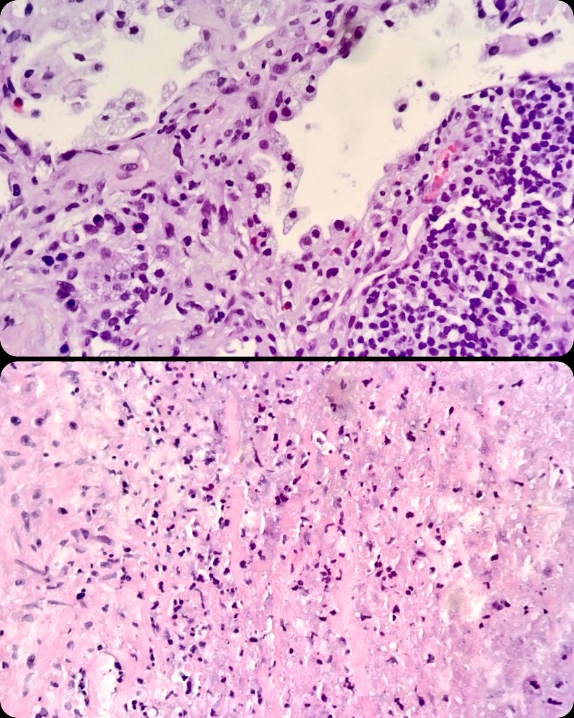
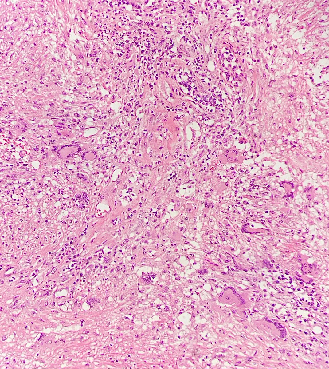
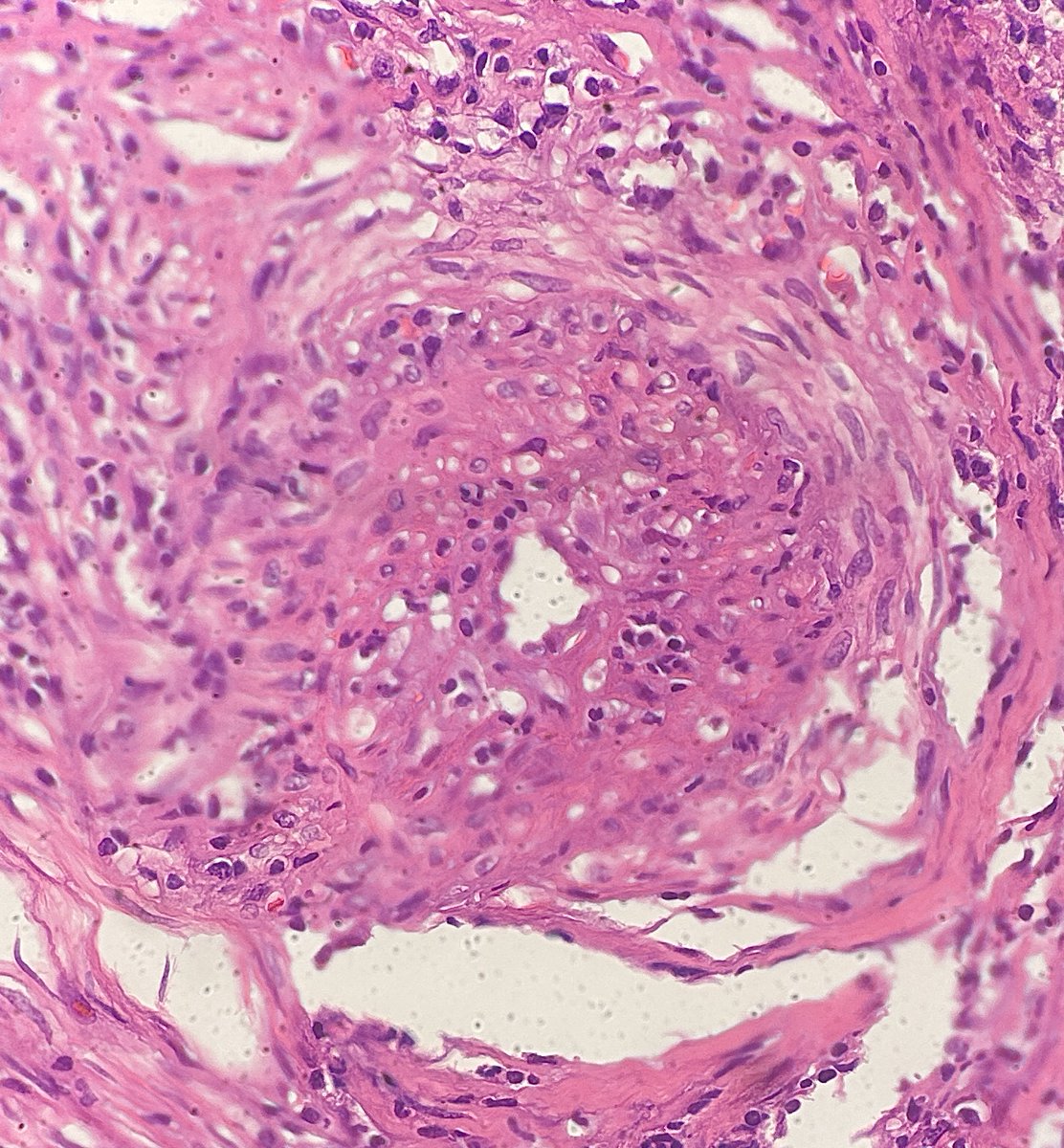
So i had my first paper as the first author published 🤩 #pathology #cnspath #pathresidents #MedTwitter doi.org/10.1093/ajcp/a…

Dar es Salaam, Tanzania 🇹🇿 English
Francis Zerd
4.6K posts

@zerdi__
▪️MD👨🏾⚕️▪️#Pathologist (AP)🔬 ▪️#Lecturer 👨🏫▪️Researcher 📚#Pathology #PathTwitter 📍The Benjamin Mkapa Hospital 👨🏾⚕️





























