Nandan K
10 posts

Nandan K
@zeugmatographic
Radiologist. Views/opinions my own
Katılım Mart 2020
186 Takip Edilen48 Takipçiler

Congratulations to Dr. Nandan Keshav, @zeugmatographic, 2021 graduating #radres, who is going to body imaging fellowship @UCSFimaging
"UCSF is lucky to have you. Go make us proud!"
#kudos

English

@Dr_Dr_Tom @joannafair1 @UNMRadiology @UCSFimaging Thank you so much Dr. Anderson!! I will miss you too!!
English

@zeugmatographic @joannafair1 @UNMRadiology @UCSFimaging Nandan, I'm going to miss you! I don't think we ever officially worked together clinically but in the interactions we've had, I have always appreciated the zen you bring to the room. Have fun at UCSF!
English

@joannafair1 @UNMRadiology @UCSFimaging Thank you so much, Dr. Fair!! I've had a blast these last five years, it was wonderful living in Albuquerque and having the privilege of training at UNM!!
English

@UNMRadiology @zeugmatographic @UCSFimaging Nandan, you have been an awesome resident to work with, and you will rock your fellowship! You will continue to make us proud @UCSFimaging !!
English

@ShravSridhar Goes back to our discussion - we need more visibility
English

@ShravSridhar @IamDaGoods @t_naney @CameronAdlerMD It may also refer to their March exam dates too that was mentioned in one of their earlier emails
English

@IamDaGoods @zeugmatographic @t_naney @CameronAdlerMD But will their policies for the core reflect these policies?
English

Ben White, MD@benwhitemd
@ARadDocDates @ABR_Radiology For what it’s worth, they said in the recent Zoom meeting that people who aren’t comfortable traveling could delay until 2021. So I’d just wait to take it. I’m sure more info will come at some point. As you know, they’re not very good at communicating.
QAM
Nandan K retweetledi

Acute mesenteric ischemia is a life-threatening condition with nonspecific symptoms. Fitzpatrick et al recommend an “inside-out” approach to diagnosis and share its pearls, pitfalls and mimics at CT. bit.ly/2TAQ0PG #IRad

English
Nandan K retweetledi

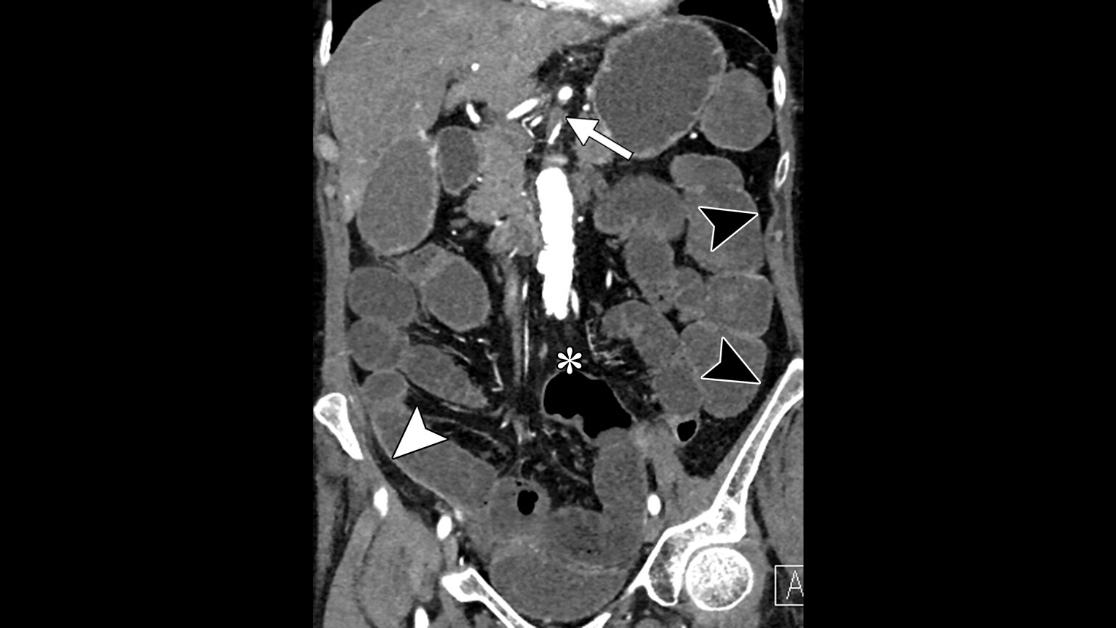
Ischemic bowel from internal hernia on #SpectralCT. Diagnosis made, surgeon called, <60 min from pt entering ER.
Confirmed on surgery, bowel ischemic but viable. Speed saves!
Also, imagine delaying this because you insist on giving PO contrast...
English
Nandan K retweetledi

Rectal cancer MRI staging - everything you need to know! 20 min talk by Dr. Gaurav Khatri (UTSW) youtu.be/IFp1OPArslI @gkhatri_md

YouTube
English
Nandan K retweetledi
Nandan K retweetledi

Feel like “nesting” this weekend? Relax, go online and visit the ISMRM MR Academy. Our complimentary online education platform to learn more about magnetic resonance. Membership is not required for viewing 75+ educational videos.
lnkd.in/gP2uuzP

English


